首页
Portal
订阅
产品资料
医疗器械
外科训练
医学论坛
BBS
关于我们
联系我们
登录
立即登录
立即注册
其他登录
QQ
微信
搜索
搜索
本版
文章
帖子
用户
本版
文章
帖子
用户
首页
Portal
订阅
产品资料
医疗器械
外科训练
医学论坛
BBS
关于我们
联系我们
账号
自动登录
找回密码
密码
登录
注册
外科
内科
第三
第四
中医
辅助
执业
教育
专区
好友
帖子
收藏
淘帖
分享
记录
留言板
门户
导读
排行榜
设置
我的收藏
退出
珍屯医学
»
医学论坛
›
外科
›
骨科四肢脊柱手外
›
拇指掌骨基底部和远节指骨骨折
返回列表
拇指掌骨基底部和远节指骨骨折
[复制链接]
作者:
大江
|
时间:
2025-12-22 19:54:27
|
阅读:47
|
显示全部楼层
病例介绍
高处坠落。
患者资料
年龄:30岁
性别:男
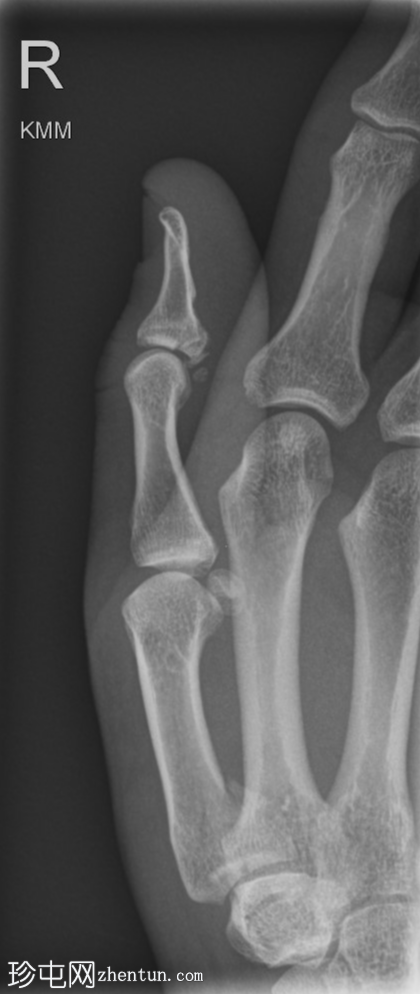
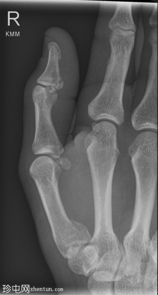
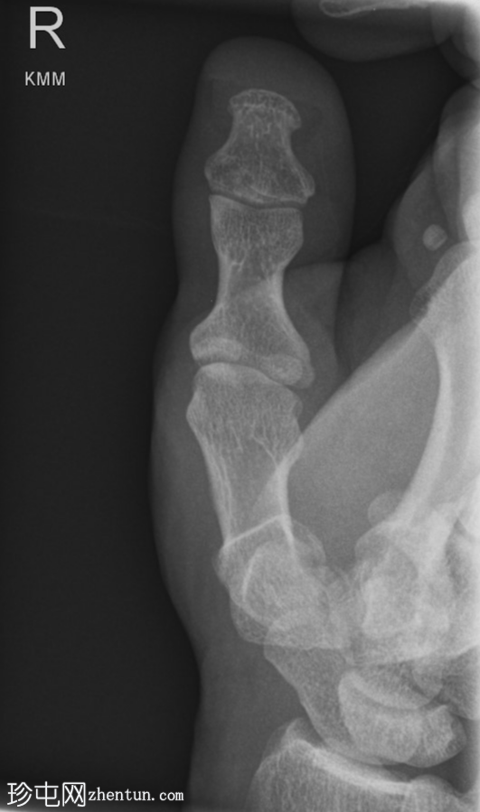
X线片
斜位
正位
侧位
右拇指远节指骨掌侧关节内轻度移位骨折,可能为撕脱性骨折。关节内可见轻微皮质台阶。
第一掌骨基底部可见轻微移位骨折,根据骨折轨迹推测可能为关节内骨折,但关节内皮质台阶不明显。若临床治疗方案改变,可能需要进一步
影像
学检查。第一腕掌关节解剖对位良好。
病例讨论
切勿因过度探查而得意忘形。
回复
举报
返回列表
发表新帖
高级模式
B
Color
Image
Link
Quote
Code
Smilies
您需要登录后才可以回帖
登录
|
注册
大江
关注Ta
主题 17530
帖子 16616
积分 42064
此人很懒,什么也没留下。
•
轻松订阅最新动态(简易法)
•
珍屯网“股份”积分策略
•
您看好“外资独资办医”吗?欢迎大家投票和讨论
•
会员注册规则说明——试行
•
为各位医友推荐些好书!可代购
•
无排卵
•
《简明体格检查图解》┊陈清兰,郑智远编著.PDF
•
全国实践技能考试准考证打印一览表
阅读作者更多精彩帖子
热门问答
更多>
0
无血管性坏死 - 髋关节
69人围观, 发布于2026-01-19
0
掌侧巴顿骨折
68人围观, 发布于2026-01-20
0
桡骨远端骨折
44人围观, 发布于2026-01-21
0
冈上肌腱钙化性肌腱炎
55人围观, 发布于2026-01-22