找回密码
 注册

无血管性坏死 - 髋关节

作者:大江 | 时间:2026-1-19 16:00:01 | 阅读:91| 显示全部楼层
主诉

左髋疼痛

患者资料

年龄:35岁

性别:女

MRI
1.jpg
冠状位

STIR序列
2.jpg
冠状位

T1加权像
3.jpg
轴位

T2加权像
4.jpg
矢状位

(左侧)T2加权像
5.jpg
矢状位

(右侧)T2加权像
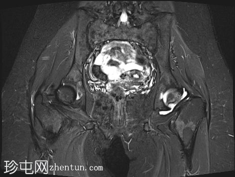
6.jpg
冠状位

(左侧)T2加权像

左侧股骨头:

T1和T2加权像上可见股骨头前上缘呈蛇形低信号,勾勒出一个地理区域,STIR序列上可见邻近骨髓水肿。

软骨下骨折/新月征,关节面局灶性凹陷——符合软骨下塌陷。

关节间隙中央保持完整,但股骨头轮廓异常,系塌陷所致。

右侧股骨头:

未见骨髓信号异常或软骨下骨折。股骨头轮廓保持完整

关节周围结构:无大量关节积液,无骨关节炎性关节间隙狭窄或边缘骨赘,提示无晚期继发性退行性改变

未发现其他部位急性骨折

病例讨论

关键学习要点:

MRI 是早期股骨头坏死最敏感的检查方法;需注意骨髓信号呈地图状分布异常以及双线征

软骨下骨折/新月征的存在 = 股骨头塌陷 = Ficat III 级/分期 - 治疗方案和预后与 Ficat III 级不同

报告时务必结合临床病史和危险因素(如类固醇、酒精、镰状细胞贫血、外伤等)进行综合判断
您需要登录后才可以回帖 登录 | 注册
Copyright © 2011-2026 东莞市珍屯医疗科技有限公司Powered by zhentun.com
返回顶部