找回密码
 注册

冈上肌腱钙化性肌腱炎

作者:大江 | 时间:2026-1-22 16:00:01 | 阅读:87| 显示全部楼层
主诉

肩痛。

患者资料

年龄:45岁

性别:男

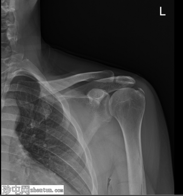
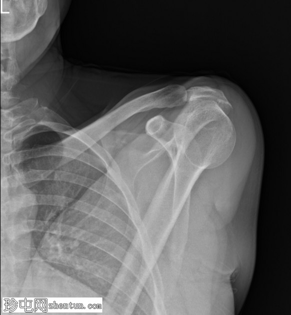
X线片
1.png
正位
2.png
斜位

冈上肌腱止点处可见弧形钙化,符合钙化性肌腱炎的影像学表现

未见相关骨骼异常

MRI
3.jpg
冠状位PD加权像

脂肪抑制像
4.jpg
冠状位T2加权像

脂肪抑制像
5.jpg
冠状位

T1加权像
6.jpg
矢状位

T2加权像
7.jpg
矢状位
PD加权像
脂肪抑制像
8.jpg
轴位PD加权像

脂肪抑制像

冈上肌腱上部纤维可见约25 x 1.2 mm的低信号肌腱内病变,符合钙化性肌腱炎的影像学表现

冈上肌腱滑囊侧纤维可见液体信号增高,符合肌腱病

II型肩峰(弯曲型)

肩峰下滑囊内可见轻度液体信号,提示轻度滑囊炎

病例讨论

冈上肌腱钙化性肌腱炎肩袖损伤是一种累及肩袖肌腱(最常见的是冈上肌)的自限性疾病。

治疗通常以保守治疗为主,包括非甾体抗炎药、物理治疗和肩峰下注射类固醇/局部麻醉剂。对于难治性病例,可考虑影像引导下冲洗或肩峰下减压手术。
您需要登录后才可以回帖 登录 | 注册
Copyright © 2011-2026 东莞市珍屯医疗科技有限公司Powered by zhentun.com
返回顶部