找回密码
 注册

异物肉芽肿

作者:大江 | 时间:2025-12-22 19:49:23 | 阅读:62| 显示全部楼层
临床表现

左足跟出现疼痛性肿块,伴皮肤发红和分泌物。

患者资料

年龄:60岁

性别:男

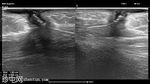
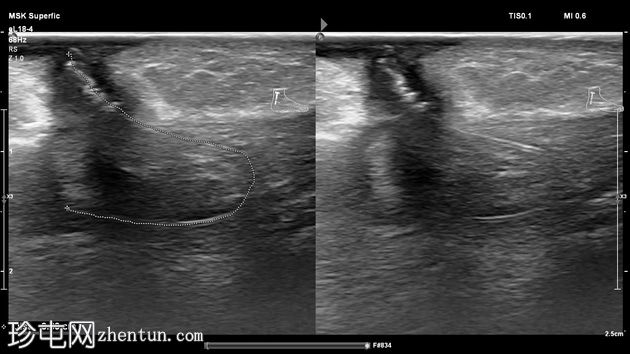
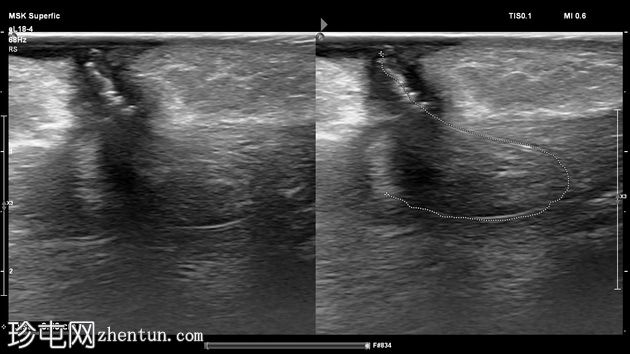
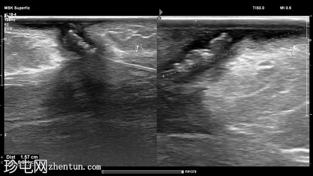
超声检查
1.jpg
斜位
2.jpg
纵位
3.jpg
纵位
4.jpg
横位
5.jpg
横位
6.jpg
纵位和横位

左足跟皮下组织内可见一管状高回声物质,呈串珠状,与手术缝线相符,周围环绕着低回声积液。与缝线相连的是一根细细的、呈轨道状的高回声合成单丝,它穿过跟腱呈弧形走行,该缝线为不可吸收缝线。

照片
7.jpeg
伤口照片显示皮肤活动性炎症和脱屑。

病例讨论

本病例为一名60岁男性,既往有40岁左右跟腱撕裂史,此次诊断为异物肉芽肿。当时用于固定肌腱的缝合线是不可吸收的合成单丝线。过去五年间,症状逐渐发展,从轻微瘙痒发展到皮肤发红,随后出现脱屑和渗出。肉芽肿被切除,外科医生小心地将缝线拉出,没有造成缝合线断裂。
您需要登录后才可以回帖 登录 | 注册
Copyright © 2011-2026 东莞市珍屯医疗科技有限公司Powered by zhentun.com
返回顶部