找回密码
 注册

肘关节脱位和内上髁骨折——随访

作者:大江 | 时间:2025-12-22 19:40:35 | 阅读:75| 显示全部楼层
临床表现

跑步时跌倒,手掌撑地。右肘关节严重畸形。

患者资料

年龄:11岁

性别:女

临床表现

X线片
1.png
正位片
2.png
侧位片

关节对位不良。桡骨和尺骨外侧脱位。

肘关节内可见骨碎片(正位/侧位片)。

肘关节积液(帆状征)。

桡骨头附近可见碎裂性骨折。

闭合复位后

X线片
3.png
正位片
4.png
侧位片
两个投照角度均显示肘关节复位良好。

复位后,骨碎片被明确识别为未完全骨化的内上髁骨折。

肘关节内仍有积液。

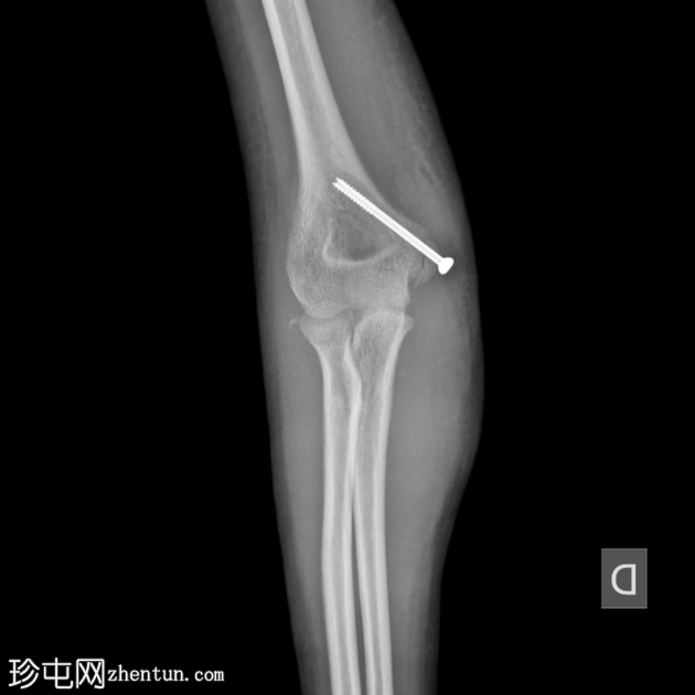
术后

X线片
5.png
正位片

侧位片
使用空心螺钉对内上髁进行有效复位。

位置良好的硬物

病例讨论

肘关节脱位在儿童中相对少见。

绝大多数肘关节脱位为后脱位。外侧脱位,例如本例,是一种罕见的亚型。

高达 60% 的儿童肘关节脱位伴有内上髁骨折。这具有重要的临床意义,因为移位的骨折碎片可能妨碍闭合复位。

如果伴有内上髁骨折,建议行切开复位内固定术 (ORIF)。

其他骨化中心不应与骨折混淆。在本例中,肱骨小头、外上髁和滑车的骨化中心已与肱骨远端干骺端融合。内上髁是肱骨远端最后一个完全骨化的骨化中心。桡骨头和鹰嘴骨化中心正接近与其各自的干骺端完全融合。
您需要登录后才可以回帖 登录 | 注册
Copyright © 2011-2026 东莞市珍屯医疗科技有限公司Powered by zhentun.com
返回顶部