找回密码
 注册

肩关节脂肪血肿

作者:大江 | 时间:2025-12-22 19:29:02 | 阅读:67| 显示全部楼层
病例介绍

跌倒时右肩着地。

患者资料

年龄:65岁

性别:女

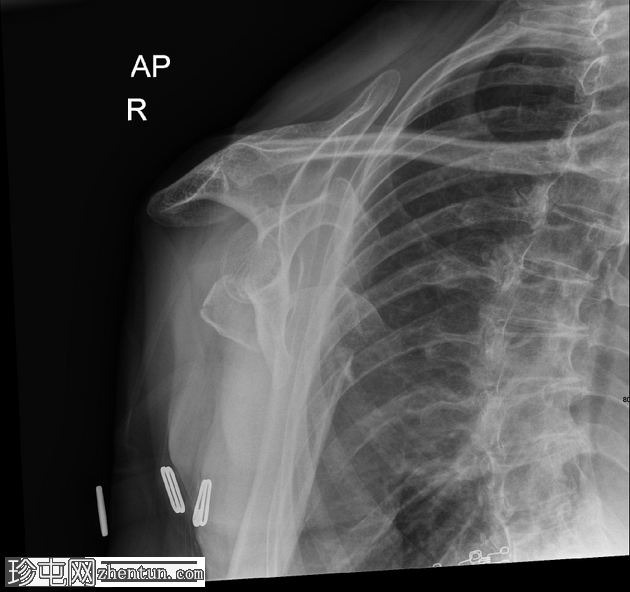
X线片
1.png
正位
2.png
斜位

右肱骨近端粉碎性骨折,严重移位,累及肱骨颈和肱骨大结节,伴肱骨近端相对于肩胛盂的前下脱位和肩关节脂肪血肿。肩锁关节完整;另可见胸椎侧弯、右侧颈部手术夹以及覆盖上臂和腋窝的衣物痕迹。

病例讨论

该X线片显示右肩高能量损伤,表现为肱骨近端粉碎性骨折,严重移位,累及肱骨颈和肱骨大结节。伴随的前下肩关节脱位反映了稳定软组织结构的破坏,这是此类骨折脱位模式的常见特征。脂肪血肿的存在表明骨折已延伸至关节内,骨髓脂肪渗入关节腔;这是评估损伤严重程度的重要影像学线索。
您需要登录后才可以回帖 登录 | 注册
Copyright © 2011-2026 东莞市珍屯医疗科技有限公司Powered by zhentun.com
返回顶部