找回密码
 注册

肱二头肌损伤 - 肌筋膜平面分离

作者:大江 | 时间:2025-12-22 17:08:43 | 阅读:63| 显示全部楼层
临床表现

右臂活动后出现右二头肌疼痛。无外伤史。无肿胀、发红或全身症状。

患者资料

年龄:60岁

性别:男

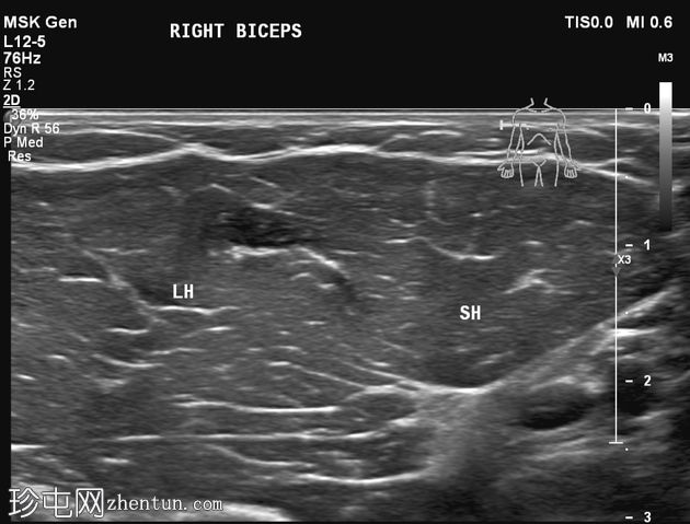
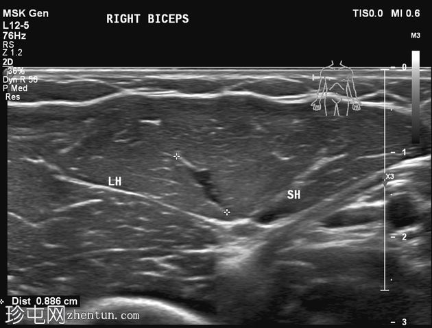
超声
1.jpeg
横断面
2.jpeg
横断面
3.jpeg
横断面
4.jpeg
横断面
5.jpeg
横断面
6.jpeg
纵断面

静息状态:肱二头肌短头和长头肌肉结构正常。肌腱和肌腱连接处完整,仅有轻微的断裂或积液迹象。

肘关节屈曲及肌肉收缩动态成像:肱二头肌短头和长头肌纤维之间出现充满液体的裂隙,提示局部肌筋膜分离/拉伤。未见肌纤维全层撕裂。肱二头肌远端止点正常。

诊断:肱二头肌短头和长头之间的动态肌筋膜损伤,收缩时裂隙内积液。

静息状态下的图像可能显示正常,这凸显了对有症状患​​者进行动态检查的重要性。

本病例无法获得动态影像,但如果获得动态影像,则能更好地显示病理情况。

病例讨论

病理生理学/意义

肱二头肌两头间局灶性肌筋膜损伤或拉伤

肌肉收缩时,液体积聚在筋膜间隙中,解释了活动相关性疼痛,而静息状态下的肌纤维看起来正常

教育意义

展示了动态肌肉骨骼超声对静态影像正常的有症状患者的实用性

突出了活动特异性疼痛机制,这些机制在常规MRI或静态超声检查中常常被忽略

强调了筋膜平面损伤是疼痛的原因之一,即使没有明显的肌腱或肌纤维断裂

与对侧肢体进行比较很有价值
您需要登录后才可以回帖 登录 | 注册
Copyright © 2011-2026 东莞市珍屯医疗科技有限公司Powered by zhentun.com
返回顶部