首页
Portal
订阅
产品资料
医疗器械
外科训练
医学论坛
BBS
关于我们
联系我们
登录
立即登录
立即注册
其他登录
QQ
微信
搜索
搜索
本版
文章
帖子
用户
本版
文章
帖子
用户
首页
Portal
订阅
产品资料
医疗器械
外科训练
医学论坛
BBS
关于我们
联系我们
账号
自动登录
找回密码
密码
登录
注册
外科
内科
第三
第四
中医
辅助
执业
教育
专区
好友
帖子
收藏
淘帖
分享
记录
留言板
门户
导读
排行榜
设置
我的收藏
退出
珍屯医学
»
医学论坛
›
外科
›
骨科四肢脊柱手外
›
胫腓前下韧带撕脱伴腓骨骨骺损伤
返回列表
胫腓前下韧带撕脱伴腓骨骨骺损伤
[复制链接]
作者:
大江
|
时间:
2025-12-22 16:51:44
|
阅读:55
|
显示全部楼层
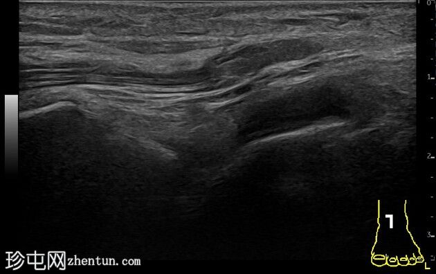
病例介绍
患者数日前左踝受伤,主诉踝关节
疼痛
和肿胀。
患者资料
年龄:12岁
性别:男
超声
检查
踝关节前隐窝少量积液。患侧腓骨前下胫腓韧带撕脱。与对侧(右侧)相比,患侧韧带水肿。左侧腓骨远端骨骺增宽,邻近干骺端区域骨膜下少量出血。对侧(右侧)腓骨远端骨骺正常。距腓前韧带和跟腓韧带完整。跟骨前突未见撕脱。
病例讨论
本病例展示了超声在儿童踝关节损伤诊断中的应用价值。与健侧进行对比有助于诊断。
回复
举报
返回列表
发表新帖
高级模式
B
Color
Image
Link
Quote
Code
Smilies
您需要登录后才可以回帖
登录
|
注册
大江
关注Ta
主题 17530
帖子 16616
积分 42064
此人很懒,什么也没留下。
•
轻松订阅最新动态(简易法)
•
珍屯网“股份”积分策略
•
您看好“外资独资办医”吗?欢迎大家投票和讨论
•
会员注册规则说明——试行
•
为各位医友推荐些好书!可代购
•
无排卵
•
《简明体格检查图解》┊陈清兰,郑智远编著.PDF
•
全国实践技能考试准考证打印一览表
阅读作者更多精彩帖子
热门问答
更多>
0
无血管性坏死 - 髋关节
69人围观, 发布于2026-01-19
0
掌侧巴顿骨折
68人围观, 发布于2026-01-20
0
桡骨远端骨折
44人围观, 发布于2026-01-21
0
冈上肌腱钙化性肌腱炎
55人围观, 发布于2026-01-22