首页
Portal
订阅
产品资料
医疗器械
外科训练
医学论坛
BBS
关于我们
联系我们
登录
立即登录
立即注册
其他登录
QQ
微信
搜索
搜索
本版
文章
帖子
用户
本版
文章
帖子
用户
首页
Portal
订阅
产品资料
医疗器械
外科训练
医学论坛
BBS
关于我们
联系我们
账号
自动登录
找回密码
密码
登录
注册
外科
内科
第三
第四
中医
辅助
执业
教育
专区
好友
帖子
收藏
淘帖
分享
记录
留言板
门户
导读
排行榜
设置
我的收藏
退出
珍屯医学
»
医学论坛
›
外科
›
骨科四肢脊柱手外
›
桡骨颈骨折伴肘关节后脱位
返回列表
桡骨颈骨折伴肘关节后脱位
[复制链接]
作者:
大江
|
时间:
2025-12-22 16:45:06
|
阅读:67
|
显示全部楼层
病例介绍
跌倒
患者资料
年龄:60岁
性别:男
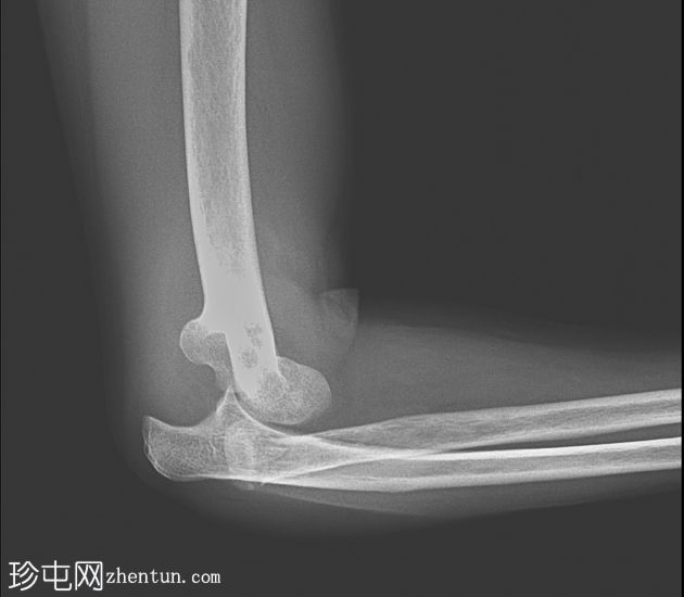
X线片
侧位
前后位
桡骨和尺骨相对于肱骨远端后脱位
桡骨颈横行骨折,桡骨头骨折块轻度移位
肱骨远端或冠突未见明显骨折
周围软组织肿胀和关节积液
病例讨论
教学要点
肘关节后脱位是最常见的肘关节脱位类型
务必检查是否存在相关的桡骨头/颈骨折和冠突骨折
“恐怖三联征”(肘关节后脱位+桡骨头骨折+冠突骨折)需要及时识别以指导治疗
即使是轻微移位的桡骨颈骨折,如果合并脱位,也会影响肘关节的稳定性
回复
举报
返回列表
发表新帖
高级模式
B
Color
Image
Link
Quote
Code
Smilies
您需要登录后才可以回帖
登录
|
注册
大江
关注Ta
主题 17530
帖子 16616
积分 42064
此人很懒,什么也没留下。
•
轻松订阅最新动态(简易法)
•
珍屯网“股份”积分策略
•
您看好“外资独资办医”吗?欢迎大家投票和讨论
•
会员注册规则说明——试行
•
为各位医友推荐些好书!可代购
•
无排卵
•
《简明体格检查图解》┊陈清兰,郑智远编著.PDF
•
全国实践技能考试准考证打印一览表
阅读作者更多精彩帖子
热门问答
更多>
0
无血管性坏死 - 髋关节
69人围观, 发布于2026-01-19
0
掌侧巴顿骨折
68人围观, 发布于2026-01-20
0
桡骨远端骨折
44人围观, 发布于2026-01-21
0
冈上肌腱钙化性肌腱炎
55人围观, 发布于2026-01-22