找回密码
 注册

鹰嘴和桡骨颈骨折

作者:大江 | 时间:2025-12-29 11:00:05 | 阅读:70| 显示全部楼层
病例介绍

跑步时在公园摔倒,肘关节屈曲着地。肱骨外上髁压痛。

患者资料

年龄:6岁

性别:男

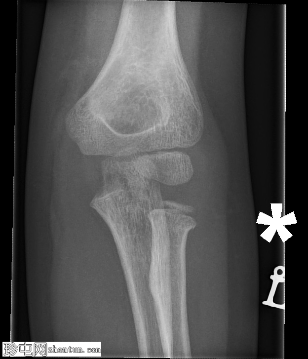
肘关节X线片

X线片
1.jpg
侧位片
2.png
正位片

可见鹰嘴关节内骨折,桡骨颈轻度移位骨折,侧位片可见轻微硬化。肘关节对位良好。关节积液,表现为前后脂肪垫抬高。

病例讨论

儿科,桡骨颈骨折比桡骨头骨折更常见(与成人相反)。如本例所示,桡骨颈骨折通常表现隐匿,轻微硬化或轻度成角可能是唯一的体征。

鹰嘴骨折虽然不常见,但容易被忽略,因此是常见的漏诊骨折。侧位片通常最有帮助。

务必始终评估关节对位情况。如果存在桡骨小头关节脱位,则该损伤属于蒙特吉亚骨折脱位。描述关节对位正常非常重要。
您需要登录后才可以回帖 登录 | 注册
Copyright © 2011-2026 东莞市珍屯医疗科技有限公司Powered by zhentun.com
返回顶部