首页
Portal
订阅
产品资料
医疗器械
外科训练
医学论坛
BBS
关于我们
联系我们
登录
立即登录
立即注册
其他登录
QQ
微信
搜索
搜索
本版
文章
帖子
用户
本版
文章
帖子
用户
首页
Portal
订阅
产品资料
医疗器械
外科训练
医学论坛
BBS
关于我们
联系我们
账号
自动登录
找回密码
密码
登录
注册
外科
内科
第三
第四
中医
辅助
执业
教育
专区
好友
帖子
收藏
淘帖
分享
记录
留言板
门户
导读
排行榜
设置
我的收藏
退出
珍屯医学
»
医学论坛
›
外科
›
肛肠外科
›
回盲部肠套叠
返回列表
回盲部肠套叠
[复制链接]
作者:
大江
|
时间:
昨天 15:00
|
阅读:4
|
显示全部楼层
临床表现
部分性肠梗阻
患者资料
年龄:65岁
性别:女
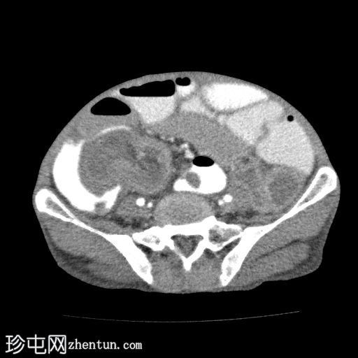
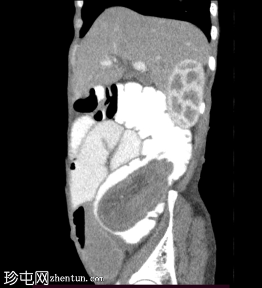
CT
轴位
平扫
轴位增强扫描
动脉期
矢状位增强扫描
动脉期
冠状位增强扫描
动脉期
回肠肠袢套入盲肠,形成肠套叠形态,轴位和纵位图像分别可见靶征和腊肠征或假肾征。
病例讨论
成人回盲部肠套叠较为罕见。然而,它是由潜在的“引导点”引起的,例如
肿瘤
或息肉。常见症状包括间歇性腹痛、恶心和呕吐,但这些症状可能不具有特异性。
回复
举报
返回列表
发表新帖
高级模式
B
Color
Image
Link
Quote
Code
Smilies
您需要登录后才可以回帖
登录
|
注册
大江
关注Ta
主题 17295
帖子 16381
积分 41560
此人很懒,什么也没留下。
•
轻松订阅最新动态(简易法)
•
珍屯网“股份”积分策略
•
您看好“外资独资办医”吗?欢迎大家投票和讨论
•
会员注册规则说明——试行
•
为各位医友推荐些好书!可代购
•
无排卵
•
《简明体格检查图解》┊陈清兰,郑智远编著.PDF
•
全国实践技能考试准考证打印一览表
阅读作者更多精彩帖子
热门问答
更多>
1
腹腔镜肿瘤切除训练体系
85人围观, 发布于2025-12-04
1
端端吻合术和部分闭塞修复术(带解剖)
38人围观, 发布于2025-12-25
0
腹腔镜九宫定位缝合训练解析
51人围观, 发布于2025-12-13
0
腹腔镜环切缝合训练方案总结
48人围观, 发布于2025-12-14