找回密码
 注册

真菌性回结肠炎 - 巴斯蒂迪奥菌病

作者:大江 | 时间:2025-12-29 15:00:05 | 阅读:68| 显示全部楼层
临床表现

右髂窝疼痛伴食欲不振和恶心。可触及肿块。

患者资料

年龄:20岁

性别:男

CT
1.jpg
轴位增强扫描(门静脉期)
2.jpg
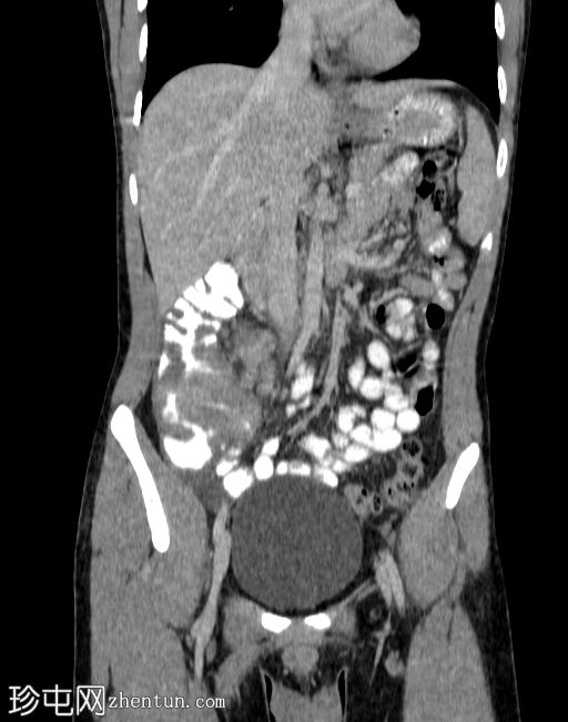
冠状位增强扫描(门静脉期)

矢状位增强扫描(门静脉期)

可见盲肠和末端回肠弥漫性环周肠壁增厚,导致严重的肠腔狭窄。可见多个区域淋巴结肿大,最大者大小为2.4 x 2.2 cm,伴中央坏死。

右侧结肠旁沟可见少量游离液体和脂肪条索影,盆腔内可见少量游离液体。

结肠镜检查
4.png
病理检查

结肠镜检查发现盲肠内有一个大的蕈状溃疡性易碎肿块,并取活检进行组织病理学检查。

病例讨论

临床检查发现患者右髂窝疼痛及压痛,实验室检查结果显示中性粒细胞增多。

CT检查结果提示炎症(感染性)病变(感染性结肠炎)或累及盲肠和末端回肠的肿瘤性病变,并伴有多发区域淋巴结肿大。

患者急性起病,表现为右髂窝疼痛,炎症标志物升高(C反应蛋白显著升高),且结肠镜检查结果提示感染性病变而非肿瘤性病变。

组织病理学检查结果显示为担子菌门真菌(Phaeotremella属)感染。

患者服用伊曲康唑后病情好转,在消化内科门诊随访期间未出现新的不适症状,但拒绝再次进行CT或结肠镜检查。
您需要登录后才可以回帖 登录 | 注册
Copyright © 2011-2026 东莞市珍屯医疗科技有限公司Powered by zhentun.com
返回顶部