首页
Portal
订阅
产品资料
医疗器械
外科训练
医学论坛
BBS
关于我们
联系我们
登录
立即登录
立即注册
其他登录
QQ
微信
搜索
搜索
本版
文章
帖子
用户
本版
文章
帖子
用户
首页
Portal
订阅
产品资料
医疗器械
外科训练
医学论坛
BBS
关于我们
联系我们
账号
自动登录
找回密码
密码
登录
注册
外科
内科
第三
第四
中医
辅助
执业
教育
专区
好友
帖子
收藏
淘帖
分享
记录
留言板
门户
导读
排行榜
设置
我的收藏
退出
珍屯医学
»
医学论坛
›
外科
›
泌尿外科
›
右侧输尿管双J管
返回列表
右侧输尿管双J管
[复制链接]
作者:
大江
|
时间:
3 小时前
|
阅读:3
|
显示全部楼层
病例介绍
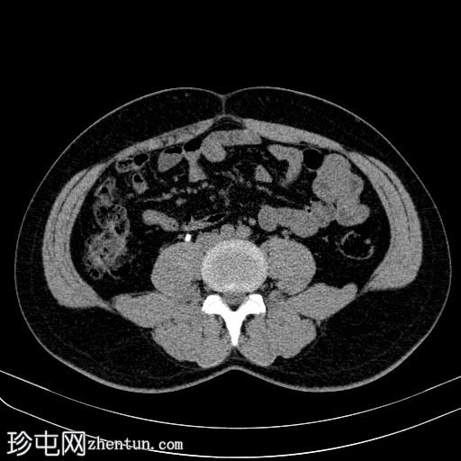
右侧输尿管支架置入。随访CT扫描。
患者资料
年龄:35岁
性别:男
CT
轴位
平扫
冠状位
平扫
矢状位
平扫
右侧输尿管双J管置入良好,自右肾盂延伸至膀胱。
未见肾积水或肾周积液。
未见输尿管周围脂肪条索状改变。
病例讨论
输尿管支架常用于缓解各种原因引起的尿路梗阻。置入可采用顺行或逆行途径。
回复
举报
返回列表
发表新帖
高级模式
B
Color
Image
Link
Quote
Code
Smilies
您需要登录后才可以回帖
登录
|
注册
大江
关注Ta
主题 17193
帖子 16280
积分 41441
此人很懒,什么也没留下。
•
轻松订阅最新动态(简易法)
•
珍屯网“股份”积分策略
•
您看好“外资独资办医”吗?欢迎大家投票和讨论
•
会员注册规则说明——试行
•
为各位医友推荐些好书!可代购
•
无排卵
•
《简明体格检查图解》┊陈清兰,郑智远编著.PDF
•
全国实践技能考试准考证打印一览表
阅读作者更多精彩帖子
热门问答
更多>
1
腹腔镜肿瘤切除训练体系
67人围观, 发布于2025-12-04
0
腹腔镜九宫定位缝合训练解析
39人围观, 发布于2025-12-13
0
腹腔镜环切缝合训练方案总结
35人围观, 发布于2025-12-14
0
腹腔镜环形切口连续缝合训练方法
31人围观, 发布于2025-12-16