首页
Portal
订阅
产品资料
医疗器械
外科训练
医学论坛
BBS
关于我们
联系我们
登录
立即登录
立即注册
其他登录
QQ
微信
搜索
搜索
本版
文章
帖子
用户
本版
文章
帖子
用户
首页
Portal
订阅
产品资料
医疗器械
外科训练
医学论坛
BBS
关于我们
联系我们
账号
自动登录
找回密码
密码
登录
注册
外科
内科
第三
第四
中医
辅助
执业
教育
专区
好友
帖子
收藏
淘帖
分享
记录
留言板
门户
导读
排行榜
设置
我的收藏
退出
珍屯医学
»
医学论坛
›
外科
›
骨科四肢脊柱手外
›
乳腺癌骨转移
返回列表
乳腺癌骨转移
[复制链接]
作者:
大江
|
时间:
2026-1-17 16:00:00
|
阅读:95
|
显示全部楼层
病例介绍
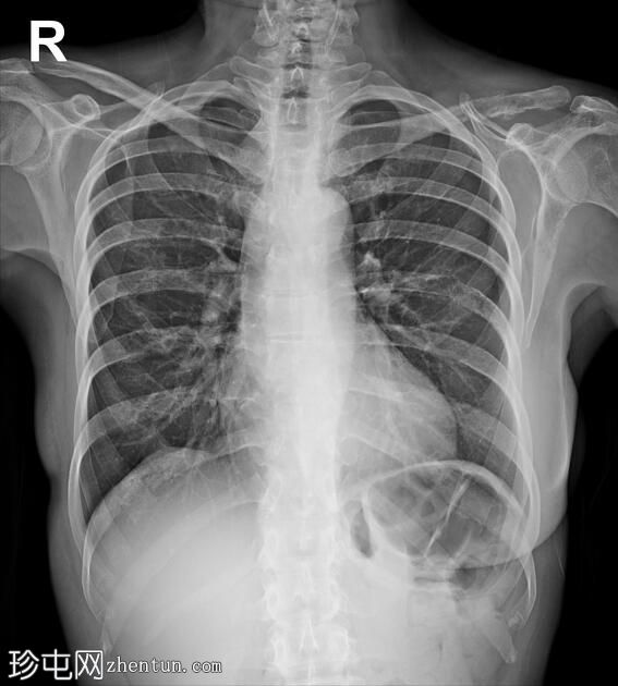
已知乳腺癌脑转移病例。现因胸痛就诊。
患者资料
年龄:50岁
性别:女
X线片
左侧第7肋后弓及锁骨外侧三分之一处可见溶骨
性病
变,提示骨转移。
右侧乳房切除术。
肺
部听诊清晰。
心脏
大小正常。
病例讨论
X线检查结果提示,该患者既往有右侧乳腺癌病史及乳房切除术,此次X线检查提示溶骨性骨转移。
回复
举报
返回列表
发表新帖
高级模式
B
Color
Image
Link
Quote
Code
Smilies
您需要登录后才可以回帖
登录
|
注册
大江
关注Ta
主题 17575
帖子 16661
积分 42208
此人很懒,什么也没留下。
•
轻松订阅最新动态(简易法)
•
珍屯网“股份”积分策略
•
会员注册规则说明——试行
•
您看好“外资独资办医”吗?欢迎大家投票和讨论
•
为各位医友推荐些好书!可代购
•
无排卵
•
《简明体格检查图解》┊陈清兰,郑智远编著.PDF
•
全国实践技能考试准考证打印一览表
阅读作者更多精彩帖子
热门问答
更多>
0
腹腔镜肿块训练全面解析
89人围观, 发布于2026-02-09
0
腹腔镜正反针缝合训练指南
72人围观, 发布于2026-02-10
0
腹腔镜360度缝合训练指南
93人围观, 发布于2026-02-11
0
腹腔镜侧面定点缝合训练
70人围观, 发布于2026-02-18