找回密码
 注册

原发性巨输尿管

作者:大江 | 时间:2025-12-24 16:52:58 | 阅读:61| 显示全部楼层
临床表现

反复泌尿道感染。

患者资料

年龄:5岁

性别:男

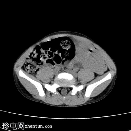
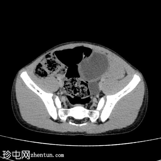
CT
轴位

平扫
1.jpg
轴位增强CT(门静脉期)
2.jpg
轴位肾盂期
3.jpg
排泄期
4.png
冠状位增强CT(延迟期)

在这张多期增强CT图像中,我们可以观察到肾盏、肾盂以及左侧输尿管全程扩张。

未见感染或其他相关征象。

病例讨论

本例为原发性巨输尿管。整个泌尿系统的扩张是诊断的关键。

超声、CT或MRI均可诊断。

巨输尿管分为两种类型:

原发性巨输尿管,由输尿管膀胱连接处的功能性或解剖性异常引起。原发性巨输尿管进一步细分为四种类型:

反流性巨输尿管

梗阻性巨输尿管

反流/梗阻性巨输尿管

非反流/非梗阻性巨输尿管

继发性巨输尿管,由膀胱或尿道异常引起,包括脊髓脊膜膨出/神经源性膀胱、严重尿道狭窄或后尿道瓣膜。
您需要登录后才可以回帖 登录 | 注册
Copyright © 2011-2026 东莞市珍屯医疗科技有限公司Powered by zhentun.com
返回顶部