找回密码
 注册

嗜铬细胞肾细胞癌

作者:大江 | 时间:2025-12-25 15:00:08 | 阅读:86| 显示全部楼层
病例介绍

已知乳腺癌病例,随访CT扫描中偶然发现右肾外生性病变。

患者资料

年龄:65岁

性别:女

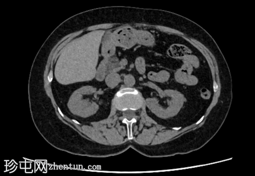
CT
轴位
平扫
1.png
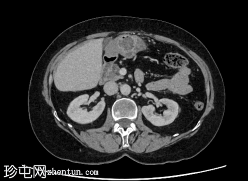
轴位增强扫描(门静脉期)
2.png
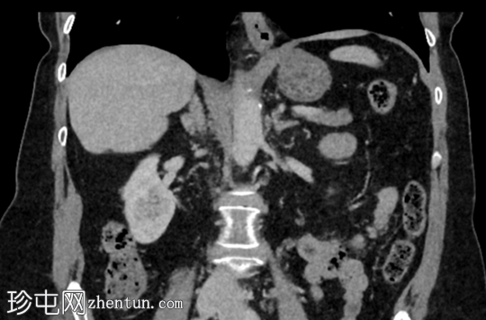
冠状位增强扫描(门静脉期)
3.png
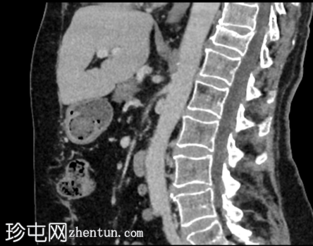
矢状位增强扫描(门静脉期)
4.png
矢状位平扫
5.png
矢状位增强扫描(门静脉期)
6.png
重建图像
7.png
VR三维图像

右肾后上极可见2.8 cm外生性强化病灶,提示肾细胞癌(RCC)。右肾静脉和下腔静脉通畅。未见明显局部淋巴结肿大。右肝叶可见高密度金属影。可见含脂肪的脐疝。

照片
8.png
右肾部分切除术后病理检查显示为嫌色细胞肾细胞癌。

病例讨论

嗜铬细胞肾细胞癌 (chRCC) 约占肾脏恶性上皮肿瘤的 5%,常为偶然发现。该肿瘤血管丰富度中等,但病理上血管分布不明显,在所有影像学阶段的强化程度均低于肾皮质,肾实质期强化最为显著。

临床上,与透明细胞肾细胞癌 (ccRCC) 相比,chRCC 预后良好,无复发生存率、癌症特异性生存率和总生存率均较高。
您需要登录后才可以回帖 登录 | 注册
Copyright © 2011-2026 东莞市珍屯医疗科技有限公司Powered by zhentun.com
返回顶部