找回密码
 注册

肾淋巴瘤

作者:大江 | 时间:2025-12-21 12:00:01 | 阅读:86| 显示全部楼层
主诉

腹痛。

患者资料

年龄:50岁

性别:男

CT
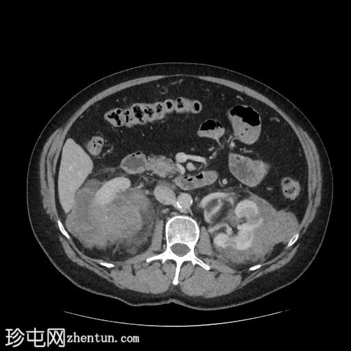
轴位增强扫描(门静脉期)
1.jpg
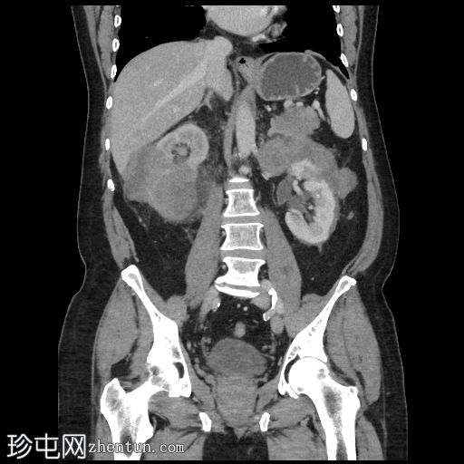
冠状位增强扫描(门静脉期)
2.jpg
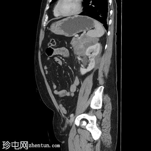
矢状位增强扫描(门静脉期)
3.jpg
右肾可见不规则分叶状低密度浸润性病变,超出肾包膜,并与右肝下叶相邻。

左肾可见弥漫性浸润性病变,以上极为中心。左肾浸润性病变与胰尾相邻,胰尾可能受累,表现为胰腺后缘不规则、脂肪间隙消失。此外,浸润性病变与左侧肾上腺外侧肢相邻。

左肾偶然发现一小结石和肾囊肿。

脾脏下极可见一密度不明、呈分叶状/浸润性改变的肿块。

胆囊内可见少量胆结石。

病例讨论

本例为肾淋巴瘤,具体为弥漫性大B细胞淋巴瘤(DLBCL)。

鉴于其浸润性病变,高度怀疑为淋巴瘤。原发性肾脏恶性肿瘤(例如肾细胞癌、肾嗜酸细胞瘤)的可能性较小。肾脏肿块活检证实为肾脏DLBCL。
您需要登录后才可以回帖 登录 | 注册
Copyright © 2011-2026 东莞市珍屯医疗科技有限公司Powered by zhentun.com
返回顶部