找回密码
 注册

膀胱恶性孤立性纤维瘤

作者:大江 | 时间:2025-12-20 12:00:00 | 阅读:88| 显示全部楼层
临床表现

患者主诉膀胱刺激症状,下腹部可触及肿块。

患者资料

年龄:55岁

性别:男

CT
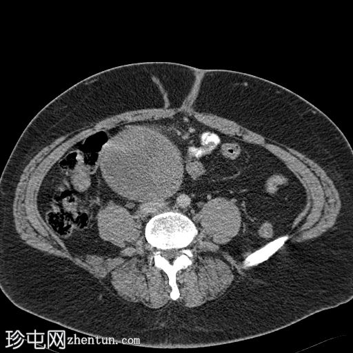
轴位增强扫描(门静脉期)
1.jpg
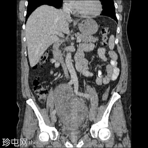
冠状位增强扫描(门静脉期)
2.jpg
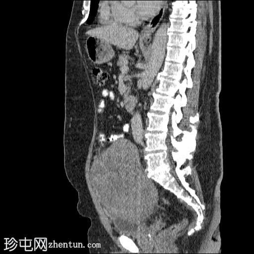
矢状位增强扫描(门静脉期)
3.jpg
轴位平扫
4.jpg
轴位
5.jpg
盆腔内可见一大小为12 x 17 cm的边界清晰的异质性软组织肿块,向下延伸至下腹部。肿块内未见钙化或脂肪密度影。肿块向下推挤膀胱,并牵拉周围肠袢,但无放射学侵犯证据。未见明显淋巴结肿大、腹水或气腹。未见肺部或骨骼局灶性病变。肝脏可见数个小的单纯性囊肿。患者存在少量Bosniak I型肾囊肿,双侧肾盂肾盏系统饱满。曾行胆囊切除术。

照片
6.png
切除的盆腔肿块的组织病理学报告显示为恶性孤立性纤维瘤,伴有高分化未分化肉瘤区域。

病例讨论

扫描结果提示非典型平滑肌瘤或平滑肌肉瘤,可能起源于膀胱。患者随后接受了肿块切除术,组织病理学检查显示为恶性孤立性纤维瘤,伴有去分化为高分化未分化肉瘤的区域。
您需要登录后才可以回帖 登录 | 注册
Copyright © 2011-2026 东莞市珍屯医疗科技有限公司Powered by zhentun.com
返回顶部