找回密码
 注册

局灶性子宫腺肌症

作者:大江 | 时间:2025-12-31 16:00:00 | 阅读:84| 显示全部楼层
主诉

盆腔疼痛

患者资料

年龄:45岁

性别:女

MRI
矢状位
T2加权像
1.jpg
冠状位
T1加权像
2.jpg
冠状位
T2加权像
3.jpg
冠状位
STIR序列
4.jpg
轴位
T2加权像
5.jpg
轴位
T2加权像
6.jpg
轴位
STIR序列
7.jpg
轴位
T2加权像
8.jpg
轴位 T1加权像
9.jpg
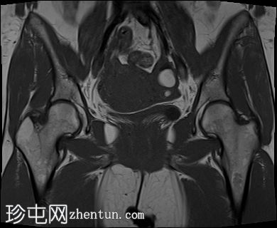
增大的子宫腹股沟区(AVF)显示:

子宫前壁交界区局灶性增厚,边界不清。形成直径约3厘米的局灶性肿块样病变,轻度压迫膀胱。肿块边界模糊不清,可见多个细小出血灶,在T1加权像和T2加权像上均呈高信号,提示局灶性子宫腺肌症。

子宫体前壁可见另一处病灶,位于上述病灶尾侧,边界清晰(有包膜)。该病灶在T1和T2加权像上均呈低信号,内部未见异常信号灶,周围可见少量明显血管通道,提示为小型子宫肌瘤。

子宫内膜厚度正常。

宫颈MRI表现正常,可见少量纳博氏囊肿。

左侧卵巢可见数个小囊肿,在T1加权像上呈高信号,在T2加权像上呈低信号(T2阴影),T1脂肪抑制序列未见信号下降,提示其为血液降解产物。最大的囊肿轴位大小约为3.1×1.7 cm,轻度压迫卵巢实质。

右侧卵巢可见黄体囊肿。未见实性肿块。

盆腔少量游离液体。

病例讨论

边界模糊不清是局灶性子宫腺肌症(无包膜)的特征。此外,病灶内存在多个微小的内部出血灶(异位腺体),且邻近增厚模糊的交界区,这些都是局灶性子宫腺肌症的诊断标准。

在上述病灶尾侧可见另一处具有不同影像学特征的病灶,该病灶边界清晰(有包膜),且信号均匀(无微小的内部出血灶),提示可能合并子宫肌瘤。

子宫腺肌症通常累及范围较广,累及子宫的大部分区域(通常为后壁),但宫颈通常不受累。尽管子宫常明显增大,但其整体轮廓通常保持完整。

在某些情况下,子宫腺肌症也可能局限于子宫,形成肿块。在这种情况下,可以使用“腺肌瘤”一词,尽管对于“局灶性腺肌症”和“腺肌瘤”是否指同一种疾病,目前似乎存在一些争议。

一种罕见的变异型是囊性腺肌症,据信是由反复的局灶性出血导致囊腔内充满变质血液成分所致。

少数左侧卵巢囊肿伴有上述出血信号,可能代表子宫内膜异位囊肿,因为多发性和双侧性更倾向于子宫内膜异位囊肿而非出血性囊肿。
您需要登录后才可以回帖 登录 | 注册
Copyright © 2011-2026 东莞市珍屯医疗科技有限公司Powered by zhentun.com
返回顶部