找回密码
 注册

急性胰腺炎

作者:大江 | 时间:2025-10-3 15:00:09 | 阅读:196| 显示全部楼层
表现
腹痛,并有胰腺炎病史。

患者资料
年龄:50岁
性别:男
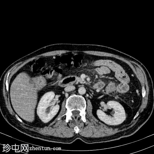
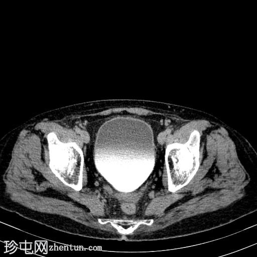
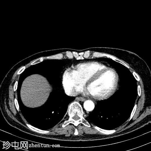
CT扫描
1.jpg
轴向
非造影

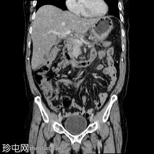
2.jpg
冠状面
非造影

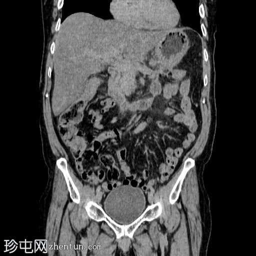
3.jpg
矢状面
非造影

4.jpg
轴向C+动脉期

5.jpg
矢状C+动脉期

6.jpg
冠状C+动脉期

7.jpg
轴向C+门静脉期

8.jpg
矢状C+门静脉期

9.jpg
冠状C+门静脉期

10.jpg
轴向C+延迟扫描

11.jpg
矢状C+延迟扫描

12.jpg
冠状C+延迟扫描
胰体尾弥漫性增大,特征为胰腺实质低强化,无明显坏死区域。

该病灶与以下表现相关:

胰周筋膜平面边界不清的污迹,无明显壁形成、气室、固体碎片或血液产物。

多个亚厘米大小、非特异性的腹主动脉旁淋巴结和肠系膜淋巴结,可能具有反应性。

病变范围如下:

病变横向延伸至左前肾旁间隙,伴有Gerota筋膜增厚。

病变向下延伸至盆腔。

无肠系膜或脾脏血管阻塞的证据。

未见导管扩张或钙化。

4个病例问题
病例讨论
急性胰腺炎是一种胰腺炎症性疾病,最常由胆结石或长期饮酒引起。

其典型表现为突发上腹部疼痛并放射至背部,同时伴有血清淀粉酶和/或脂肪酶水平升高,以及影像学检查中的特征性发现。

CT 成像对于评估炎症程度、并发症以及可能存在的任何坏死至关重要。

在疾病早期,可能出现胰腺肿大、胰腺组织低增强、胰周脂肪条带、积液和筋膜增厚。

在严重病例中,可能出现坏死或血管并发症。密切的临床监测和实验室检查至关重要。

如果患者病情恶化或怀疑有坏死或感染性积液,则可能需要进行随访影像学检查。
您需要登录后才可以回帖 登录 | 注册
Copyright © 2011-2026 东莞市珍屯医疗科技有限公司Powered by zhentun.com
返回顶部