首页
Portal
订阅
产品资料
医疗器械
外科训练
医学论坛
BBS
关于我们
联系我们
登录
立即登录
立即注册
其他登录
QQ
微信
搜索
搜索
本版
文章
帖子
用户
本版
文章
帖子
用户
首页
Portal
订阅
产品资料
医疗器械
外科训练
医学论坛
BBS
关于我们
联系我们
账号
自动登录
找回密码
密码
登录
注册
外科
内科
第三
第四
中医
辅助
执业
教育
专区
好友
帖子
收藏
淘帖
分享
记录
留言板
门户
导读
排行榜
设置
我的收藏
退出
珍屯医学
»
医学论坛
›
外科
›
普外腹腔镜
›
嵌顿性股疝
返回列表
嵌顿性股疝
[复制链接]
作者:
大江
|
时间:
2026-1-21 20:00:00
|
阅读:97
|
显示全部楼层
临床表现
右下腹
疼痛
患者资料
年龄:70岁
性别:女
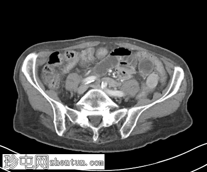
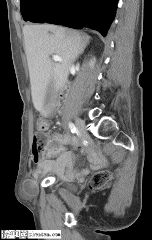
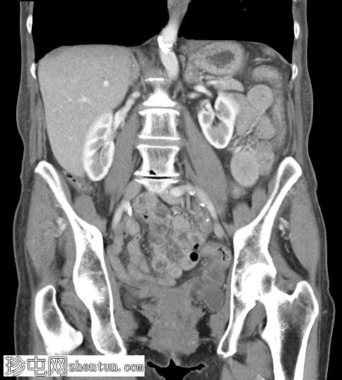
CT
轴位增强扫描(门静脉期)
冠状位增强扫描(门静脉期)
矢状位增强扫描(门静脉期)
可见右侧股疝嵌顿,右侧股静脉受压,输出小肠袢塌陷,输入小肠袢扩张。可见中等量周围游离液体。无缺血征象。右侧努克氏管向内侧移位。疝颈位于腹壁下动脉起始部和腹股沟韧带下方。
肝脏可见多个小囊肿。左侧肾上腺肿大,内含低强化结节。
病例讨论
股总静脉受压、疝颈狭窄、女性、努克氏管向内侧移位、疝颈起源于腹壁下动脉起始部和腹股沟韧带下方等表现,更倾向于股疝而非腹股沟疝。
回复
举报
返回列表
发表新帖
高级模式
B
Color
Image
Link
Quote
Code
Smilies
您需要登录后才可以回帖
登录
|
注册
大江
关注Ta
主题 17580
帖子 16666
积分 42230
此人很懒,什么也没留下。
•
轻松订阅最新动态(简易法)
•
珍屯网“股份”积分策略
•
会员注册规则说明——试行
•
您看好“外资独资办医”吗?欢迎大家投票和讨论
•
为各位医友推荐些好书!可代购
•
无排卵
•
《简明体格检查图解》┊陈清兰,郑智远编著.PDF
•
全国实践技能考试准考证打印一览表
阅读作者更多精彩帖子
热门问答
更多>
0
腹腔镜肿块训练全面解析
92人围观, 发布于2026-02-09
0
腹腔镜正反针缝合训练指南
78人围观, 发布于2026-02-10
0
腹腔镜360度缝合训练指南
98人围观, 发布于2026-02-11
0
腹腔镜侧面定点缝合训练
71人围观, 发布于2026-02-18