找回密码
 注册

胰腺实性假乳头状瘤

作者:大江 | 时间:2026-1-20 19:00:02 | 阅读:79| 显示全部楼层
临床表现

腹胀6个月。

患者资料

年龄:25岁

性别:女

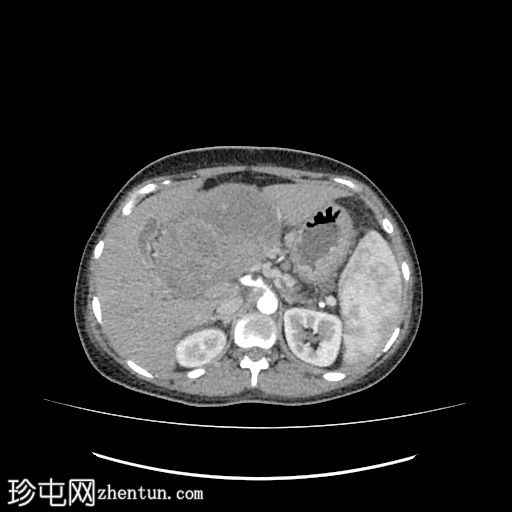
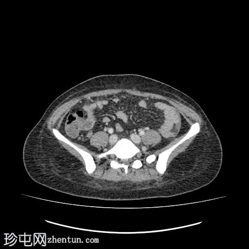
CT
轴位

平扫
1.jpg
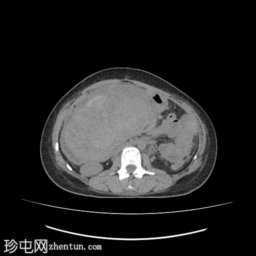
轴位增强扫描

动脉期
2.jpg
轴位增强扫描

门静脉期
3.jpg
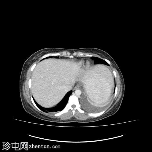
轴位增强扫描

延迟期
4.jpg
肝下区可见一大小约15 x 15.2 x 8.6 cm的较大、边界清晰、呈不均匀强化的实性肿块。

该病灶压迫胃小弯、幽门和胃窦,并对肝脏产生占位效应。门静脉和下腔静脉受压,但脂肪间隙保持完整,未见明确的血管侵犯。

肿块左侧可见正常的胰尾。胰管未见扩张。

肝内胆管和胆总管管径正常。

腹主动脉旁可见亚厘米级淋巴结,最大者短轴直径为 3.5 mm。

中度弥漫性腹水,少量左侧胸腔积液。

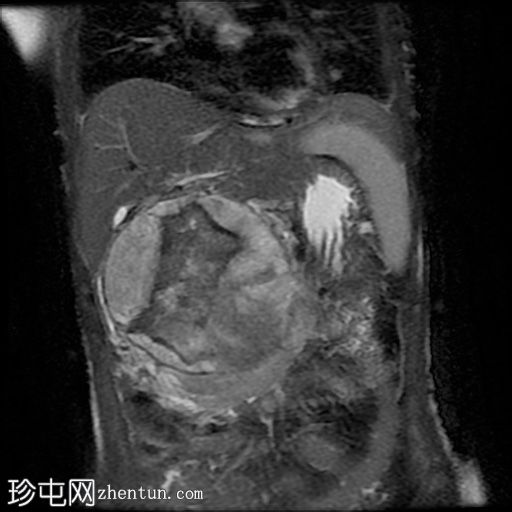
MRI

冠状位
5.jpg
T2加权像

冠状位T2加权像
6.jpg
脂肪抑制像

冠状位
7.jpg
MRCP

病灶在T2加权像上呈不均匀高信号,内部区域信号强度不一。

MRCP显示胆总管正常,无胆管扩张或梗阻征象。

主胰管未见,可能由于肿块压迫/取代所致。

病例讨论

影像学检查显示肝下/上腹部存在一个边界清晰、以实性为主的异质性肿块,对邻近结构造成压迫,但脂肪间隙保持完整,且未见明确的血管侵犯,这些特征符合实性假乳头状上皮肿瘤(SPEN)的诊断。

胆道系统和上游胰管未见扩张,这是该生长缓慢的肿瘤的显著特征。

行手术切除,活检证实为SPEN。
您需要登录后才可以回帖 登录 | 注册
Copyright © 2011-2026 东莞市珍屯医疗科技有限公司Powered by zhentun.com
返回顶部