找回密码
 注册

肝血吸虫病伴乙状结肠腺癌

作者:大江 | 时间:2026-1-19 19:00:03 | 阅读:79| 显示全部楼层
临床表现

腹痛和血性腹泻。

患者资料

年龄:40岁

性别:女

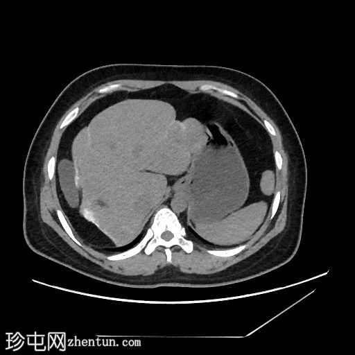
CT
1.jpg
轴位
平扫
2.jpg
轴位增强扫描(门静脉期)
3.jpg
矢状位增强扫描(门静脉期)
4.jpg
冠状位增强扫描(门静脉期)

线状包膜和实质钙化,呈“龟背样”外观


降结肠壁增厚(壁厚达7毫米),15厘米

段,直血管明显,伴脂肪浸润

乙状结肠和降结肠壁钙化

照片
5.png
组织病理学报告确诊为血吸虫病背景下的侵袭性乙状结肠腺癌。

病例讨论

血吸虫病是由血吸虫属寄生虫引起的慢性寄生虫感染,其中曼氏血吸虫和日本血吸虫是导致非洲、中东、南美和东亚等流行地区肠道和肝脾疾病的主要病原体,全球有超过2亿人受其影响。在肝血吸虫病中,寄生虫卵沉积于门静脉内,导致肉芽肿性炎症和进行性门周纤维化,通常表现为门静脉高压,但肝细胞功能得以保留。

在CT扫描中,慢性血吸虫病的典型表现为“龟背征”,其特征是门周周围呈分支状钙化和纤维间隔向肝包膜放射状延伸,反映了纤维化门静脉束内的钙化虫卵。超声检查显示门周高回声增厚带,形成网状或多边形图案,常伴有脾肿大和侧支循环。

慢性肠道血吸虫病,尤其是日本血吸虫感染,与结直肠腺癌风险增加相关,这可能与长期黏膜炎症和上皮发育不良有关。

本例中,实验室检查未发现病原体,但患者接受了下消化道内镜检查,结果显示乙状结肠内有一肿块,经病理证实为浸润性中分化乙状结肠腺癌,且内镜下可见血吸虫卵。
您需要登录后才可以回帖 登录 | 注册
Copyright © 2011-2026 东莞市珍屯医疗科技有限公司Powered by zhentun.com
返回顶部