首页
Portal
订阅
产品资料
医疗器械
外科训练
医学论坛
BBS
关于我们
联系我们
登录
立即登录
立即注册
其他登录
QQ
微信
搜索
搜索
本版
文章
帖子
用户
本版
文章
帖子
用户
首页
Portal
订阅
产品资料
医疗器械
外科训练
医学论坛
BBS
关于我们
联系我们
账号
自动登录
找回密码
密码
登录
注册
外科
内科
第三
第四
中医
辅助
执业
教育
专区
好友
帖子
收藏
淘帖
分享
记录
留言板
门户
导读
排行榜
设置
我的收藏
退出
珍屯医学
»
医学论坛
›
外科
›
骨科四肢脊柱手外
›
中节指骨基底部骨折
返回列表
中节指骨基底部骨折
[复制链接]
作者:
大江
|
时间:
昨天 11:00
|
阅读:5
|
显示全部楼层
病例介绍
左
手外
伤。
患者资料
年龄:30岁
性别:男
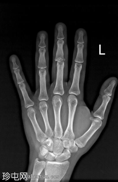
X线片
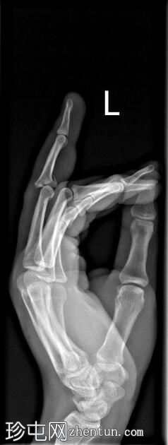
斜位
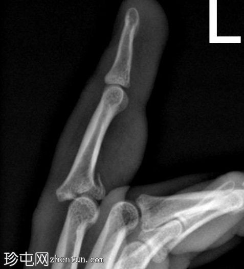
侧位
正位
侧位
正位
可见第三指中节指骨基底部轻微移位骨折,延伸至近端指间关节(PIP关节),并伴有软组织肿胀。
病例讨论
第三指中节指骨基底部轻微移位骨折,延伸至近端指间关节(PIP关节)指骨,并伴有软组织肿胀。
回复
举报
返回列表
发表新帖
高级模式
B
Color
Image
Link
Quote
Code
Smilies
您需要登录后才可以回帖
登录
|
注册
大江
关注Ta
主题 17337
帖子 16423
积分 41638
此人很懒,什么也没留下。
•
轻松订阅最新动态(简易法)
•
珍屯网“股份”积分策略
•
您看好“外资独资办医”吗?欢迎大家投票和讨论
•
会员注册规则说明——试行
•
为各位医友推荐些好书!可代购
•
无排卵
•
《简明体格检查图解》┊陈清兰,郑智远编著.PDF
•
全国实践技能考试准考证打印一览表
阅读作者更多精彩帖子
热门问答
更多>
1
端端吻合术和部分闭塞修复术(带解剖)
47人围观, 发布于2025-12-25
0
腹腔镜九宫定位缝合训练解析
55人围观, 发布于2025-12-13
0
腹腔镜环切缝合训练方案总结
55人围观, 发布于2025-12-14
0
腹腔镜环形切口连续缝合训练方法
47人围观, 发布于2025-12-16