找回密码
 注册

转移性前列腺癌引起的肱骨病理性骨折

作者:大江 | 时间:2026-1-24 16:00:02 | 阅读:75| 显示全部楼层
临床表现

患者主诉左上肢疼痛,疼痛始于绘画之后。体格检查发现活动范围受限。

患者资料

年龄:70岁

性别:男

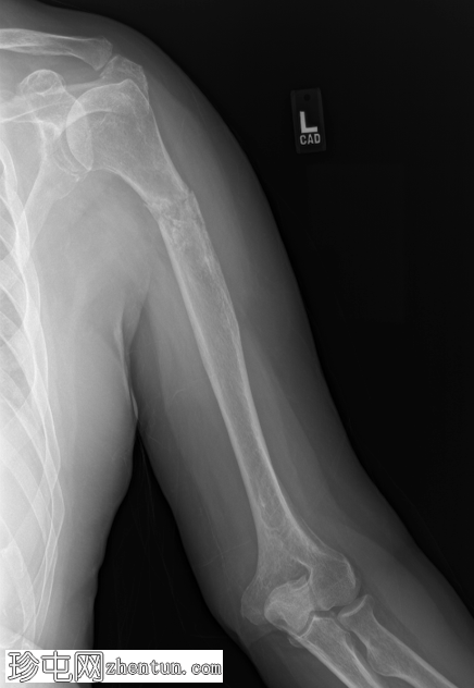
X线片
1.png
左上肢X线片显示肱骨近端干骺端无移位病理性骨折,伴有轻度侧方成角,位于边界不清的混合性硬化和溶骨性病变区域。

术后
2.png
X线片

术后X线片显示病理性骨折已行髓内钉固定。

病例讨论

本例患者既往有前列腺癌病史,因此需进行随访。约六周前,患者接受了从颅骨到大腿的PSMA(前列腺特异性膜抗原)PET检查,结果显示左肱骨转移性病变处PSMA活性增高。

病理性骨折是由于骨结构脆弱所致,通常是由转移性疾病引起的。前列腺癌常转移至中轴骨,如本例所示,可形成成骨性或混合性病变,使患者在轻微外伤下易发生骨折。鉴别诊断包括骨质疏松性骨折、多发性骨髓瘤或淋巴瘤。肱骨病理性骨折是转移性疾病累及的第二大常见长骨。

传统使用的PSA(前列腺特异性抗原)标志物相比,PSMA的优势在于其释放入血量有限。这使得分期、治疗计划和复发预测能够提供更具体的指导。

恶性肿瘤继发性病理性骨折的其他表现包括骨内膜扇形凹陷、邻近软组织异常以及MRI上清晰的T1骨髓信号。

治疗方案

启动了多学科综合治疗。会诊骨科医生以评估骨折稳定性。手术治疗方案包括髓内钉、钢板或假体。该患者接受了髓内钉固定术。此外,他接受了细针穿刺活检,细胞学检查结果显示前列腺原发灶转移性腺癌。患者症状有所改善,并继续接受肿瘤随访。

教学要点

老年男性无外伤史时发生病理性骨折,应考虑潜在恶性肿瘤,尤其是前列腺癌。

前列腺特异性膜抗原 (PSMA) PET 成像对癌症分期、治疗方案制定和疗效评估具有重要意义。

病理性骨折的手术治疗方案包括髓内钉固定、钢板固定或假体置换。

骨科、肿瘤科和放射科等多学科协作对于优化病理性骨折的治疗效果至关重要。

识别病理性骨折的常见影像学表现对于及时、全面地评估潜在恶性肿瘤至关重要。
您需要登录后才可以回帖 登录 | 注册
Copyright © 2011-2026 东莞市珍屯医疗科技有限公司Powered by zhentun.com
返回顶部