找回密码
 注册

跟骨骨折

作者:大江 | 时间:2026-1-26 11:00:00 | 阅读:85| 显示全部楼层
病例介绍

交通事故。多发伤患者。

患者资料

年龄:25岁

性别:男

X线片
1.png
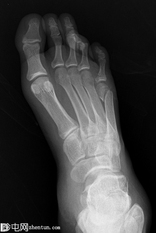
正位
2.png
斜位
3.png
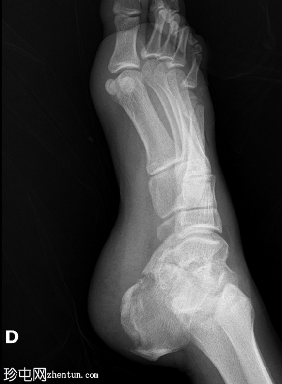
侧位
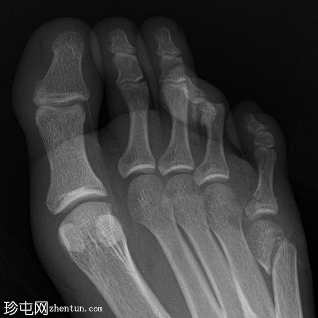
4.png
正位(放大)

第四趾近节指间关节(PIPJ)跖侧脱位。

第五趾近节指骨无移位骨折。

第五跖骨颈骨折伴跖侧移位(背侧成角)。

跟骨关节内骨折。

病例讨论

跟骨骨折是最常见的跗骨骨折。

大多数病例是由高能量轴向负荷引起的,例如高处坠落和交通事故。

如果初始影像检查未能清晰显示关节内骨折延伸情况,则应评估Böhler角和Gissane角。本例中,Böhler角减小,Gissane角增大。这两个发现均证实了关节内跟骨骨折。

跟骨骨折患者常伴有其他肌肉骨骼损伤,其中最重要的是:胸腰椎骨折、对侧跟骨骨折以及同侧下肢其他部位骨折。本例患者存在:近端指间关节脱位、趾骨骨折、跖骨骨折以及AO C型L3椎体骨折(本研究中未显示)。
您需要登录后才可以回帖 登录 | 注册
Copyright © 2011-2026 东莞市珍屯医疗科技有限公司Powered by zhentun.com
返回顶部