找回密码
 注册

输尿管肾盂交界处结石合并肾结石

作者:大江 | 时间:2026-1-5 17:00:01 | 阅读:81| 显示全部楼层
病例介绍

患者主诉左腹疼痛,既往有肾结石病史。

患者资料

年龄:45岁

性别:男

CT扫描
1.jpg
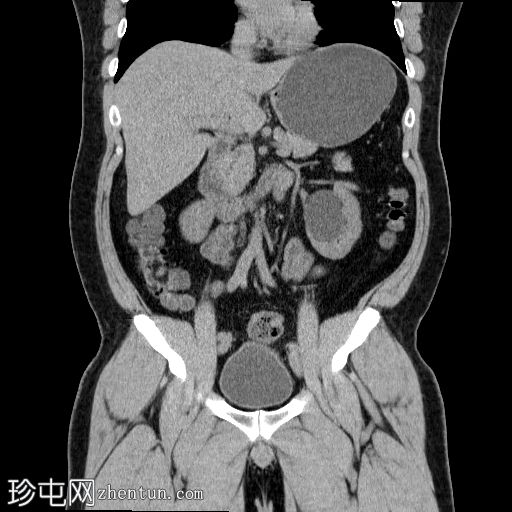
冠状位

平扫
2.jpg
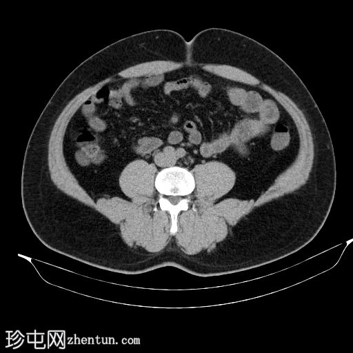
轴位

平扫
3.jpg
矢状位

平扫

左侧肾盂输尿管连接部(PUJ)可见一枚较大的不透射线结石,最大直径达24 mm,平均CT值约为1160 HU。该结石引起反压改变,导致明显的左肾积水。

此外,左肾中极肾盏内可见一枚直径约13 mm的非梗阻性不透射线结石,平均CT值为1100 HU。

另外,左肾下极肾盏内可见多枚聚集性不透射线结石,总直径约20 mm,平均CT值约为1140 HU。

偶然发现的异常包括前列腺内多发粗大钙化灶,主要位于尿道周围,并伴有轻度肝肿大。

病例讨论

输尿管肾盂交界处(PUJ)梗阻是肾积水的常见原因,可以是先天性的,也可以是后天性的。在成人中,最常见的原因是梗阻性结石,正如本病例所示。

密度值(>1100 HU)提示草酸钙或混合钙结石,这类结石通常质地较硬,体外冲击波碎石术(ESWL)难以将其击碎,因此通常需要其他介入治疗,例如输尿管镜检查、经皮肾镜取石术或手术治疗。
您需要登录后才可以回帖 登录 | 注册
Copyright © 2011-2026 东莞市珍屯医疗科技有限公司Powered by zhentun.com
返回顶部