首页
Portal
订阅
产品资料
医疗器械
外科训练
医学论坛
BBS
关于我们
联系我们
登录
立即登录
立即注册
其他登录
QQ
微信
搜索
搜索
本版
文章
帖子
用户
本版
文章
帖子
用户
首页
Portal
订阅
产品资料
医疗器械
外科训练
医学论坛
BBS
关于我们
联系我们
账号
自动登录
找回密码
密码
登录
注册
外科
内科
第三
第四
中医
辅助
执业
教育
专区
好友
帖子
收藏
淘帖
分享
记录
留言板
门户
导读
排行榜
设置
我的收藏
退出
珍屯医学
»
医学论坛
›
外科
›
泌尿外科
›
较大的膀胱结石
返回列表
较大的膀胱结石
[复制链接]
作者:
大江
|
时间:
4 天前
|
阅读:20
|
显示全部楼层
临床表现
下腹痛伴恶心呕吐、便秘和排便
疼痛
,血清肌酐升高
患者资料
年龄:60岁
性别:男
CT
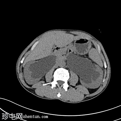
轴位
平扫
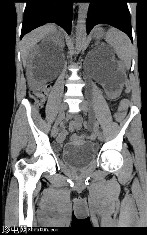
冠状位
平扫
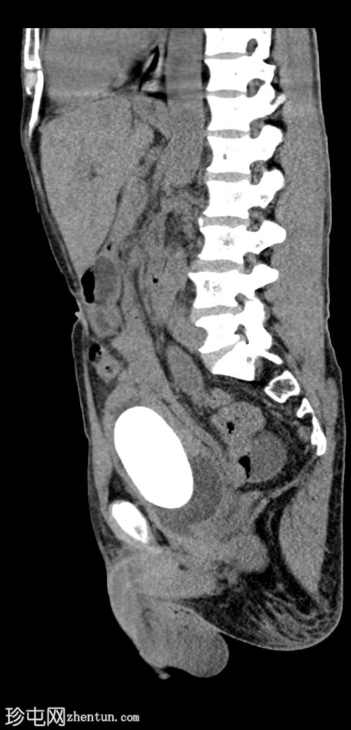
矢状位
平扫
膀胱内可见一枚较大的高密度结石(轴位、冠状位、矢状位),大小约8 × 5.6 × 5.1 cm,伴膀胱壁弥漫性增厚和小憩室。
双侧中重度输尿管肾积水,肾实质厚度减薄,左侧更为明显。双侧输尿管迂曲(右侧、左侧),前列腺尿道轻度扩张。双侧未见肾内或输尿管结石。
病例讨论
本病例展示了一例巨大的膀胱结石导致慢性膀胱出口梗阻,并继发双侧输尿管肾积水。
回复
举报
返回列表
发表新帖
高级模式
B
Color
Image
Link
Quote
Code
Smilies
您需要登录后才可以回帖
登录
|
注册
大江
关注Ta
主题 17335
帖子 16421
积分 41631
此人很懒,什么也没留下。
•
轻松订阅最新动态(简易法)
•
珍屯网“股份”积分策略
•
您看好“外资独资办医”吗?欢迎大家投票和讨论
•
会员注册规则说明——试行
•
为各位医友推荐些好书!可代购
•
无排卵
•
《简明体格检查图解》┊陈清兰,郑智远编著.PDF
•
全国实践技能考试准考证打印一览表
阅读作者更多精彩帖子
热门问答
更多>
1
端端吻合术和部分闭塞修复术(带解剖)
47人围观, 发布于2025-12-25
0
腹腔镜九宫定位缝合训练解析
54人围观, 发布于2025-12-13
0
腹腔镜环切缝合训练方案总结
54人围观, 发布于2025-12-14
0
腹腔镜环形切口连续缝合训练方法
47人围观, 发布于2025-12-16