找回密码
 注册

部分阻塞性肾盂结石

作者:大江 | 时间:2025-12-31 16:00:00 | 阅读:78| 显示全部楼层
临床表现

患者主诉左侧腰背部慢性牵拉痛,并反复出现尿路感染。

患者资料

年龄:30岁

性别:男

CT
定位像
1.jpg
轴位
非增强
2.png
冠状位
非增强
3.jpg
三维
重建
4.png
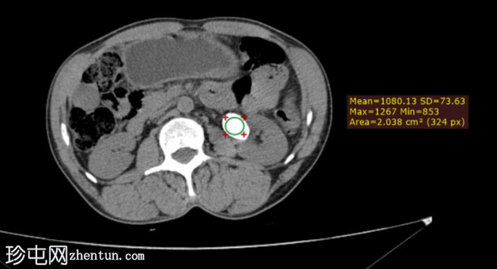
轴位结石
5.png
密度
定位像显示:

左上腹象限可见一边界清晰的卵圆形不透光影

非增强CT KUB显示:

左肾盂内可见一高密度结石,压迫肾盂输尿管连接处。

下肾盏内可见一小结石

未见明显反流、肾盂肾盏扩张或肾周脂肪浸润

输尿管或膀胱内未见明显结石

三维重建图像更清晰地显示了钙化结石;然而,需警惕腹主动脉钙化。

测量结石密度是CT检查在治疗方案制定中的主要原则。

病例讨论

大多数非梗阻性结石位于肾盂;然而,一些较小的输尿管结石可能导致轻微的部分梗阻,也可能完全不引起梗阻。

CT KUB扫描的作用是排除以下并发症:

反压征和肾积水

局部和肾周炎症征象

此外,该扫描有助于确定结石的位置和密度,从而指导治疗方案的制定。

治疗方案包括体外冲击波碎石术(ESWL)、输尿管镜检查或经皮肾镜取石术(PCNL)等择期手术。

对于我们的患者,肾盂结石密度大于1000亨氏单位(HU)适合采用体外冲击波碎石术。相反,密度小于 1000 HU 的肾下极结石或肾盂结石是经皮肾镜取石术 (PCNL) 的候选对象。
您需要登录后才可以回帖 登录 | 注册
Copyright © 2011-2026 东莞市珍屯医疗科技有限公司Powered by zhentun.com
返回顶部