首页
Portal
订阅
产品资料
医疗器械
外科训练
医学论坛
BBS
关于我们
联系我们
登录
立即登录
立即注册
其他登录
QQ
微信
搜索
搜索
本版
文章
帖子
用户
本版
文章
帖子
用户
首页
Portal
订阅
产品资料
医疗器械
外科训练
医学论坛
BBS
关于我们
联系我们
账号
自动登录
找回密码
密码
登录
注册
外科
内科
第三
第四
中医
辅助
执业
教育
专区
好友
帖子
收藏
淘帖
分享
记录
留言板
门户
导读
排行榜
设置
我的收藏
退出
珍屯医学
»
医学论坛
›
外科
›
骨科四肢脊柱手外
›
鱼钩异物,附带蛆虫
返回列表
鱼钩异物,附带蛆虫
[复制链接]
作者:
大江
|
时间:
2025-12-13 16:00:02
|
阅读:61
|
显示全部楼层
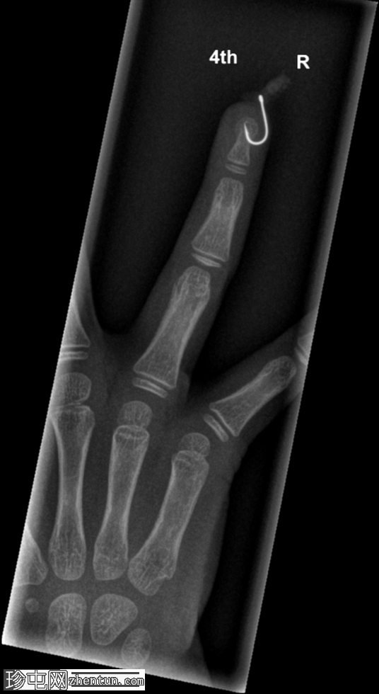
病例介绍
因钓鱼事故就诊于急诊科。
患者资料
年龄:5岁
性别:男
右手无名指
X光片
正位片
侧位片
鱼钩异物,附有蛆虫。
病例讨论
鱼钩异物较为常见,但像本例中鱼钩上还附着蛆虫的情况则较为罕见!
回复
举报
返回列表
发表新帖
高级模式
B
Color
Image
Link
Quote
Code
Smilies
您需要登录后才可以回帖
登录
|
注册
大江
关注Ta
主题 17508
帖子 16594
积分 41977
此人很懒,什么也没留下。
•
轻松订阅最新动态(简易法)
•
珍屯网“股份”积分策略
•
您看好“外资独资办医”吗?欢迎大家投票和讨论
•
会员注册规则说明——试行
•
为各位医友推荐些好书!可代购
•
无排卵
•
《简明体格检查图解》┊陈清兰,郑智远编著.PDF
•
全国实践技能考试准考证打印一览表
阅读作者更多精彩帖子
热门问答
更多>
0
乳腺癌骨转移
46人围观, 发布于2026-01-17
0
急性钙化性腕关节周围炎
42人围观, 发布于2026-01-18
0
Y形管缝合技术训练指南
61人围观, 发布于2026-01-09
0
无血管性坏死 - 髋关节
44人围观, 发布于2026-01-19