找回密码
 注册

肱骨近端扣状骨折

作者:大江 | 时间:2025-11-14 15:00:03 | 阅读:184| 显示全部楼层
病例介绍

坠马。

患者资料

年龄:11岁

性别:女

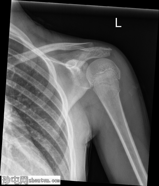
X线片
1.png
正位片

2.png
正位片

3.png
正位片
左侧肱骨近端干骺端可见环状骨折。皮质轮廓轻度不规则,呈环状弯曲,但无明显移位或成角。肱骨头与肩胛盂对位良好。

病例讨论

环状骨折,也称为环状骨折,是由轴向压缩引起的,导致皮质隆起或弯曲,但未发生完全断裂。由于儿童和青少年骨骼的柔韧性,这种类型的损伤在肱骨近端更为常见。骨折通常发生在干骺端-骨干交界处附近,即骨骼由松质骨过渡到致密骨的部位。

X线片上,表现为轻微的皮质不规则或弯曲,通常无移位或对位破坏。这些骨折本身较为稳定,通常采用保守治疗(例如用吊带或肩部固定器固定)即可良好愈合。早期识别至关重要,可以避免不必要的干预或漏诊更复杂的骨折。
您需要登录后才可以回帖 登录 | 注册
Copyright © 2011-2026 东莞市珍屯医疗科技有限公司Powered by zhentun.com
返回顶部