找回密码
 注册

逆行全肩关节置换术(RTSA)前脱位

作者:大江 | 时间:2025-11-10 15:00:00 | 阅读:132| 显示全部楼层
病史
近期行全肩关节置换术,因疑似急性冠状动脉综合征,胸部X光片偶然发现。

患者资料
年龄:60岁
性别:男
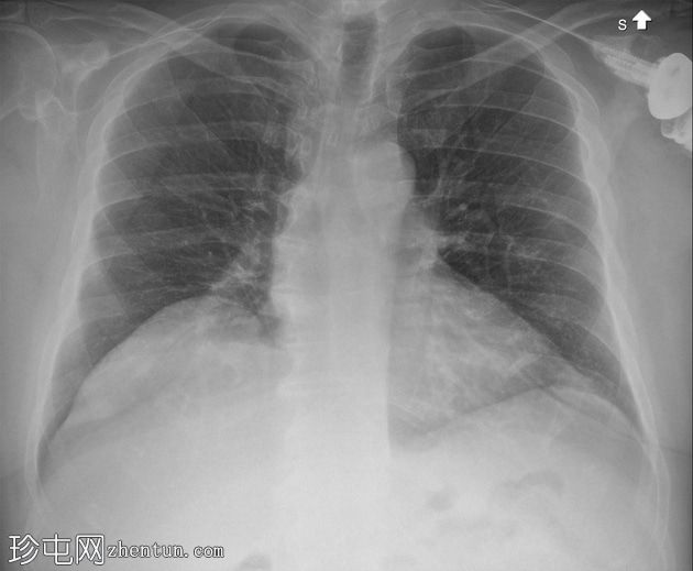
胸部
X光片
1.jpg
正面

2.jpg
侧面
胸部侧面图:肱骨假体前脱位,盂球固定到位。和纵隔正常。无胸腔积液。

检查以左肩的放射学检查结束。

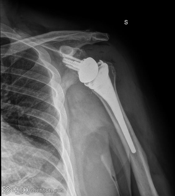
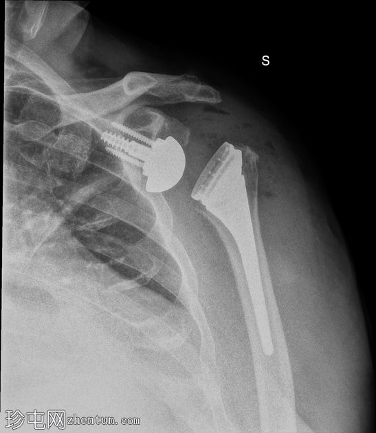
左肩
X光片
3.jpg
正面 - 内旋

4.jpg
正面 - 外旋
全肩关节置换术后肱骨假体前脱位,伴假体分离。

病例讨论
目前,治疗全肩关节置换术 (RTSA) 脱位的策略尚不明确。闭合复位治疗肩关节脱位(RTSA)的疗效有限,而手术翻修可能需要多次干预才能达到稳定。增加肱骨长度和盂肱骨偏心距的翻修治疗可获得更高的成功率,这表明降低软组织张力是治疗肩关节脱位的关键因素。
您需要登录后才可以回帖 登录 | 注册
Copyright © 2011-2026 东莞市珍屯医疗科技有限公司Powered by zhentun.com
返回顶部