首页
Portal
订阅
产品资料
医疗器械
外科训练
医学论坛
BBS
关于我们
联系我们
登录
立即登录
立即注册
其他登录
QQ
微信
搜索
搜索
本版
文章
帖子
用户
本版
文章
帖子
用户
首页
Portal
订阅
产品资料
医疗器械
外科训练
医学论坛
BBS
关于我们
联系我们
账号
自动登录
找回密码
密码
登录
注册
外科
内科
第三
第四
中医
辅助
执业
教育
专区
好友
帖子
收藏
淘帖
分享
记录
留言板
门户
导读
排行榜
设置
我的收藏
退出
珍屯医学
»
医学论坛
›
外科
›
骨科四肢脊柱手外
›
双侧腕骨脱位——月骨脱位和月骨周围脱位 ...
返回列表
双侧腕骨脱位——月骨脱位和月骨周围脱位
[复制链接]
作者:
大江
|
时间:
2025-11-7 15:00:01
|
阅读:72
|
显示全部楼层
介绍
3米外FOOSH。
患者资料
年龄:45岁
性别:男
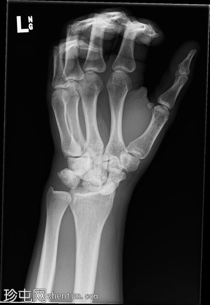
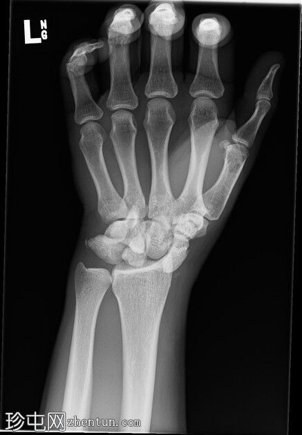
左腕
X光片
正面
斜位
侧面
前后位:舟月骨间隙明显增宽,月骨呈三角形。侧面显示月骨掌侧脱位,头状骨和桡骨远端保持正常排列,符合月骨脱位。陈旧性背侧三角骨骨折。腕部软组织肿胀。
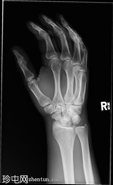
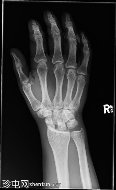
右腕
X光片
正面
斜位
侧面
前后位:舟月骨间隙增宽,月骨呈三角形。侧面显示头状骨与月骨背侧脱位,月骨与桡骨远端保持正常排列。符合月骨周围脱位的特征。无合并腕骨、桡骨或尺骨骨折。腕部软组织肿胀。
病例讨论
这是一个有趣的病例,双侧损伤显示了梅菲尔德损伤谱的不同阶段。
回复
举报
返回列表
发表新帖
高级模式
B
Color
Image
Link
Quote
Code
Smilies
您需要登录后才可以回帖
登录
|
注册
大江
关注Ta
主题 17348
帖子 16434
积分 41669
此人很懒,什么也没留下。
•
轻松订阅最新动态(简易法)
•
珍屯网“股份”积分策略
•
您看好“外资独资办医”吗?欢迎大家投票和讨论
•
会员注册规则说明——试行
•
为各位医友推荐些好书!可代购
•
无排卵
•
《简明体格检查图解》┊陈清兰,郑智远编著.PDF
•
全国实践技能考试准考证打印一览表
阅读作者更多精彩帖子
热门问答
更多>
1
端端吻合术和部分闭塞修复术(带解剖)
47人围观, 发布于2025-12-25
0
腹腔镜九宫定位缝合训练解析
55人围观, 发布于2025-12-13
0
腹腔镜环切缝合训练方案总结
55人围观, 发布于2025-12-14
0
腹腔镜环形切口连续缝合训练方法
48人围观, 发布于2025-12-16