找回密码
 注册

经括约肌肛周瘘

作者:大江 | 时间:2025-10-6 16:00:02 | 阅读:309| 显示全部楼层
就诊
反复肛周疼痛,左侧排液。

患者资料
年龄:65岁
性别:男
MRI
1.jpg
矢状位
T1时间

2.jpg
冠状位
T1时间

3.jpg
轴向位
T1时间

4.jpg
冠状位
T2

5.jpg
轴向位
T1

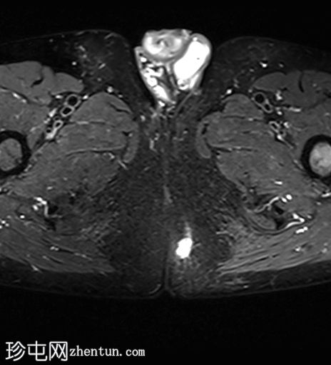
6.jpg
轴向T1
脂肪饱和度

7.jpg
冠状位T1
脂肪饱和度

8.jpg
轴向T1
C+脂肪饱和度

9.jpg
冠状位T1
C+脂肪饱和度

10.jpg
矢状位T1
C+脂肪饱和度
位于5点钟和6点钟位置之间,在STIR和T2加权图像上呈高信号。

瘘管起源于括约肌间平面附近,穿过肛门内外括约肌,并延伸至左侧坐骨肛门窝。瘘管内充满液体信号,周围有轻微水肿。肛提肌上方未观察到颅骨延伸。

病例讨论
根据圣詹姆斯大学医院的磁共振分类系统,该病例被归类为III级左侧肛周经括约肌瘘,左侧坐骨肛门窝可见炎症改变。
您需要登录后才可以回帖 登录 | 注册
Copyright © 2011-2026 东莞市珍屯医疗科技有限公司Powered by zhentun.com
返回顶部