找回密码
 注册

裂孔疝

作者:大江 | 时间:2025-10-5 16:00:01 | 阅读:281| 显示全部楼层
表现
不明原因的腹痛和胸痛。

患者资料
年龄:40岁
性别:女
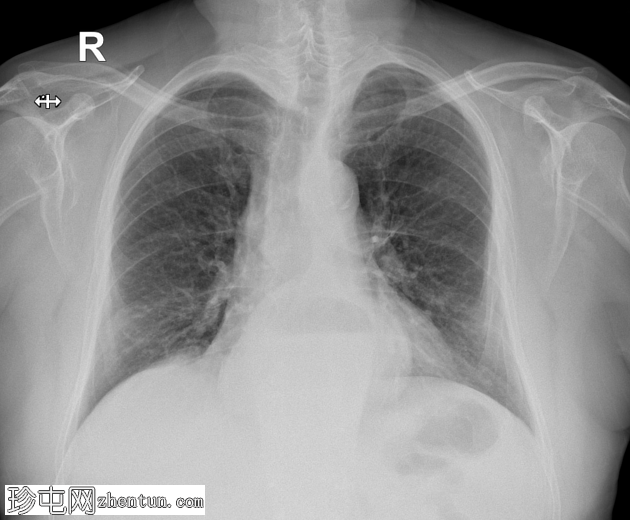
X光检查
1.png
边界清晰的卵圆形心后阴影,伴有气液平。野大体正常。双侧未见胸腔积液。

病例讨论
鉴于心后气液平及肠管缺失,这些发现提示食管裂孔疝,最有可能是滑动型。

胸部X光检查中,食管裂孔疝通常表现为后纵隔内边界清晰的心后气液平,最常发生在左侧。膈肌轮廓可能隆起或模糊。钡餐检查是确诊的最佳方法,钡餐检查可显示膈肌上方的胃疝和胃食管连接处。

鉴别诊断:

左下叶实变伴空洞形成——位于肺实质内;边界不清,周围实变

纵隔囊肿——通常为均质软组织;不太可能出现气液平面

肺脓肿——壁厚且不规则,位于实质内
您需要登录后才可以回帖 登录 | 注册
Copyright © 2011-2026 东莞市珍屯医疗科技有限公司Powered by zhentun.com
返回顶部