找回密码
 注册

肾结石

作者:大江 | 时间:5 小时前 | 阅读:7| 显示全部楼层
临床表现

反复出现右侧腰痛。既往无发热、排尿困难或肉眼血尿病史。

患者资料

年龄:40岁

性别:男

腹部平片(KUB)

CT
1.jpg
前后位(AP-lateral)
2.jpg
定位像
3.jpg
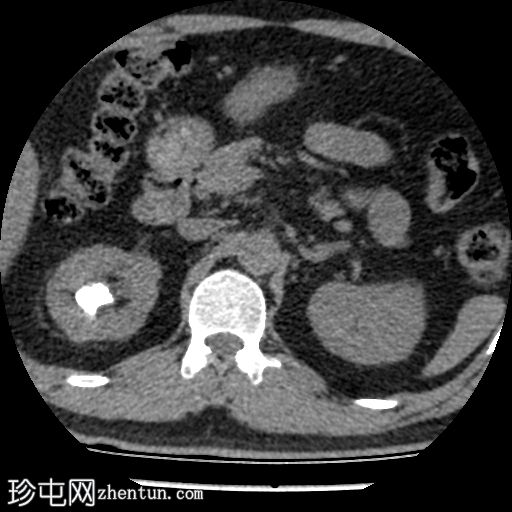
轴位(非增强)
4.jpg
矢状位(非增强)

冠状位(非增强)

右肾上盏内可见一中等大小的结石,大小约为16 x 13 x 15 mm。右肾中盏内可见一小结石,大小约为4 x 2 mm。右肾下盏内可见另一小结石(过小无法测量)。未见肾盂肾盏扩张。

4 个病例问题可供讨论

病例讨论

非增强 CT KUB 显示右肾多发结石,其中上肾盏结石较大,大小为 16 x 13 x 15 mm,密度较高(平均约 1060 HU),符合钙结石的特征。中肾盏和下肾盏可见其他较小的结石。

肾盂肾盏系统未见扩张,提示无梗阻性病变。该发现与患者反复腰痛的病史相符,腰痛可能与结石移位有关,而非当前存在梗阻。
您需要登录后才可以回帖 登录 | 注册
Copyright © 2011-2026 东莞市珍屯医疗科技有限公司Powered by zhentun.com
返回顶部