找回密码
 注册

肝血管瘤

作者:大江 | 时间:2026-2-27 15:09:46 | 阅读:56| 显示全部楼层
病例介绍

患者近期确诊为子宫平滑肌肉瘤,现发现肝脏肿块。行MRI检查以明确其性质。

患者资料

年龄:45岁

性别:女

MRI
轴位T1加权像

GE IPOP序列
1.jpg
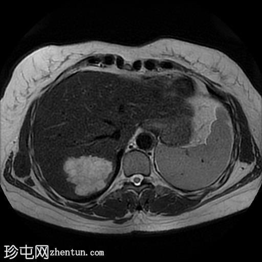
轴位
T2加权像
2.jpg
轴位T2加权像

脂肪抑制序列
3.jpg
轴位
DWI序列
4.jpg
轴位
ADC序列
5.jpg
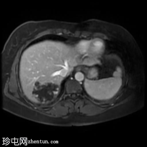
轴位T1加权像增强扫描
6.jpg
脂肪抑制动态增强扫描

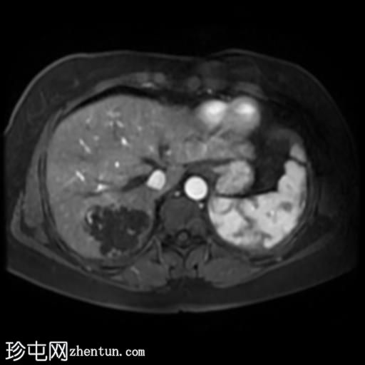
轴位T1加权像增强扫描
7.jpg
脂肪抑制动态增强扫描

轴位T1加权像增强扫描
8.jpg
脂肪抑制动态增强扫描
9.jpg
冠状位T1加权像增强扫描

轴位T1加权像增强扫描
10.jpg
肝脏第7段可见一边界清晰的分叶状肿块。T1加权像呈低信号,T2/T2脂肪抑制序列呈高信号,动脉期呈不连续结节状周边强化,门静脉期呈向心性强化,延迟期完全强化。DWI序列呈高信号,ADC值呈混合信号。

病例讨论

一位近期被诊断患有子宫平滑肌肉瘤的患者,其肝脏血管瘤的MRI特征。
您需要登录后才可以回帖 登录 | 注册
Copyright © 2011-2026 东莞市珍屯医疗科技有限公司Powered by zhentun.com
返回顶部