找回密码
 注册

新月形骨折伴骨盆LC II损伤

作者:大江 | 时间:2026-1-29 11:00:01 | 阅读:83| 显示全部楼层
病例介绍

一名骑自行车者高速撞上一辆停放的汽车。

患者资料

年龄:50岁

性别:男

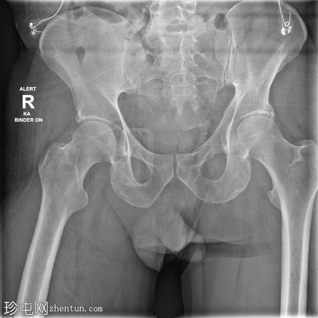
X光片
1.jpeg
骨盆固定带在位。左侧耻骨上支和下支轻微移位骨折。髋臼正常。左侧髂骨翼斜形骨折(新月形骨折)延伸至左侧骶髂关节。骶髂关节未见增宽。耻骨联合未见增宽。右侧骶骨在骶髂关节下方骨折。尾骨向左侧脱位。

CT
2.jpg
右侧骶骨斜形粉碎性骨折伴移位导致广泛的腹膜后血肿,血肿延伸至主动脉分叉处。未见动脉显影或造影剂聚集,提示无活动性出血。骨折从第一骶椎椎体延伸至右侧骶骨翼,并累及右侧椎板。骶前间隙可见粉碎性骨折碎片。

左侧后髂骨轻度移位骨折,骨折线从髂嵴延伸至骶髂关节。骶髂关节对位正常。尾骨脱位并向左侧移位。盆底肌肉扭曲并向左侧移位,但其他方面看似完整。

左侧耻骨上下支粉碎性骨折。髋臼和耻骨联合未受累。

病例讨论

损伤模式符合LC II型(侧方挤压II型)损伤。典型的月牙形骨折。
您需要登录后才可以回帖 登录 | 注册
Copyright © 2011-2026 东莞市珍屯医疗科技有限公司Powered by zhentun.com
返回顶部