找回密码
 注册

门静脉气体

作者:大江 | 时间:2026-2-27 15:04:09 | 阅读:54| 显示全部楼层
临床表现

腹胀。

患者资料

年龄:65岁

性别:男

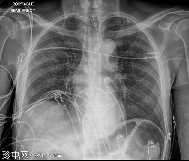
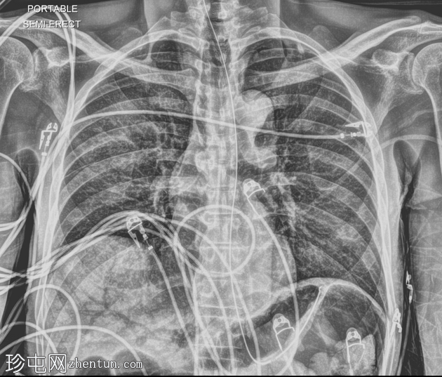
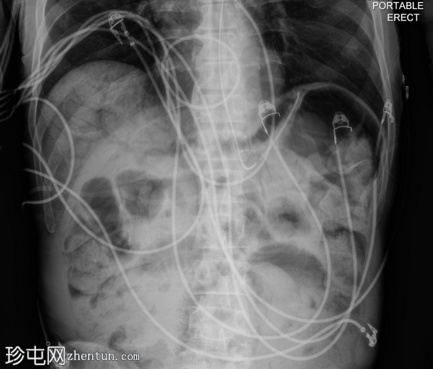
X线片
1.png
正位片
2.png
正位片
3.png
正位片
4.png
正位片

门静脉积气及肠壁积气。

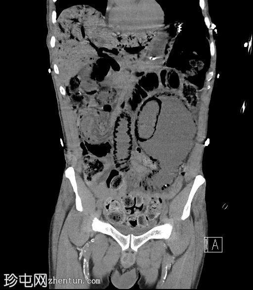
CT
5.jpg
轴位片

平扫
6.jpeg
冠状位片

平扫
7.jpg
矢状位片

平扫
门静脉积气。胃管末端位于胃底。下腹部可见长段小肠套叠,套叠起始点位于右下腹。伴有远端小肠广泛积气,左下腹肠段扩张,最符合小肠梗阻和缺血的表现,可能由长段小肠套叠引起。

病例讨论

门静脉积气通常预后不良,但该患者最终存活并出院。当肝脏内出现气体时,鉴别诊断包括胆道积气(胆道积气)和门静脉积气。通常区分并不困难:胆道积气聚集在肝脏中央,方向与胆汁流动方向一致;而门静脉积气则位于肝脏外周,方向与门静脉血流方向一致(由中央向外周)。
您需要登录后才可以回帖 登录 | 注册
Copyright © 2011-2026 东莞市珍屯医疗科技有限公司Powered by zhentun.com
返回顶部