找回密码
 注册

Sprengel畸形

作者:大江 | 时间:2026-1-10 17:21:45 | 阅读:66| 显示全部楼层
病例介绍

偶然发现的患者影像学表现

患者资料

年龄:55岁

性别:男

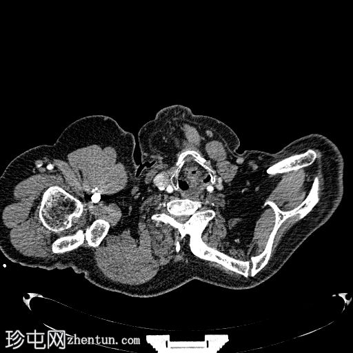
CT
轴位

平扫
1.jpg
轴位增强扫描

动脉期
2.jpg
颈椎区域可见生理性颈椎前凸变直,伴有下颈椎椎间盘明显变窄,以及相应椎体部分融合(椎体融合)。

同时,左侧肩胛骨抬高,在肩胛骨内侧缘与颈椎之间可见一长约10厘米的肩胛椎骨。

这些影像学表现符合伴有肩胛椎骨的Sprengel畸形。

病例讨论

Sprengel畸形,又称先天性肩胛骨抬高,是一种复杂的肩部畸形,也是最常见的先天性肩部异常。初步诊断通常可以通过X光片做出,但通常需要CT或MRI来评估异常的细节。
您需要登录后才可以回帖 登录 | 注册
Copyright © 2011-2026 东莞市珍屯医疗科技有限公司Powered by zhentun.com
返回顶部