首页
Portal
订阅
产品资料
医疗器械
外科训练
医学论坛
BBS
关于我们
联系我们
登录
立即登录
立即注册
其他登录
QQ
微信
搜索
搜索
本版
文章
帖子
用户
本版
文章
帖子
用户
首页
Portal
订阅
产品资料
医疗器械
外科训练
医学论坛
BBS
关于我们
联系我们
账号
自动登录
找回密码
密码
登录
注册
外科
内科
第三
第四
中医
辅助
执业
教育
专区
好友
帖子
收藏
淘帖
分享
记录
留言板
门户
导读
排行榜
设置
我的收藏
退出
珍屯医学
»
医学论坛
›
外科
›
骨科四肢脊柱手外
›
漏斗胸
返回列表
漏斗胸
[复制链接]
作者:
大江
|
时间:
2026-1-10 17:15:52
|
阅读:50
|
显示全部楼层
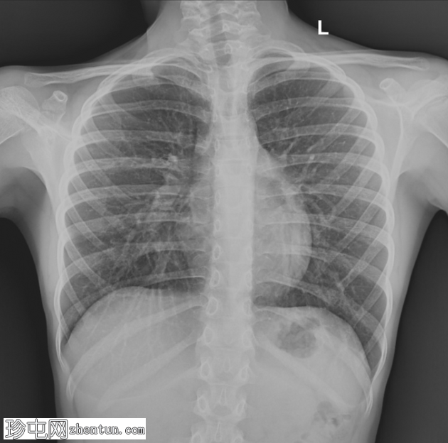
临床表现
胸部
畸形
患者资料
年龄:10岁
性别:男
X线片
双
肺
野清晰。肺门外观正常。膈肌穹隆和肋膈角正常。
心脏
轮廓向左移位并呈细长状。右心缘部分模糊。降主动脉与胸主动脉交界处模糊。可见肋骨方向异常,后肋相对水平,前肋呈垂直方向。
1个病例问题
病例讨论
教学要点
漏斗胸会导致胸部X线片上出现继发性心纵隔轮廓改变
心脏向左移位且右心缘模糊是其特征性表现
肋骨方向异常有助于诊断
CT主要用于定量分析和手术计划
回复
举报
返回列表
发表新帖
高级模式
B
Color
Image
Link
Quote
Code
Smilies
您需要登录后才可以回帖
登录
|
注册
大江
关注Ta
主题 17556
帖子 16642
积分 42140
此人很懒,什么也没留下。
•
轻松订阅最新动态(简易法)
•
珍屯网“股份”积分策略
•
会员注册规则说明——试行
•
您看好“外资独资办医”吗?欢迎大家投票和讨论
•
为各位医友推荐些好书!可代购
•
无排卵
•
《简明体格检查图解》┊陈清兰,郑智远编著.PDF
•
全国实践技能考试准考证打印一览表
阅读作者更多精彩帖子
热门问答
更多>
0
新月形骨折伴骨盆LC II损伤
60人围观, 发布于2026-01-29
0
三角骨骨折
57人围观, 发布于2026-01-30
0
腰骶移行椎(Castellvi 2b 型)
63人围观, 发布于2026-01-31
0
Hill-Sachs 缺陷伴 Bankart 病变
53人围观, 发布于2026-02-01