首页
Portal
订阅
产品资料
医疗器械
外科训练
医学论坛
BBS
关于我们
联系我们
登录
立即登录
立即注册
其他登录
QQ
微信
搜索
搜索
本版
文章
帖子
用户
本版
文章
帖子
用户
首页
Portal
订阅
产品资料
医疗器械
外科训练
医学论坛
BBS
关于我们
联系我们
账号
自动登录
找回密码
密码
登录
注册
外科
内科
第三
第四
中医
辅助
执业
教育
专区
好友
帖子
收藏
淘帖
分享
记录
留言板
门户
导读
排行榜
设置
我的收藏
退出
珍屯医学
»
医学论坛
›
外科
›
骨科四肢脊柱手外
›
桡骨远端骨软骨瘤
返回列表
桡骨远端骨软骨瘤
[复制链接]
作者:
大江
|
时间:
2026-1-10 17:06:28
|
阅读:51
|
显示全部楼层
临床表现
前臂远端
疼痛
患者资料
年龄:5岁
性别:女
X线片
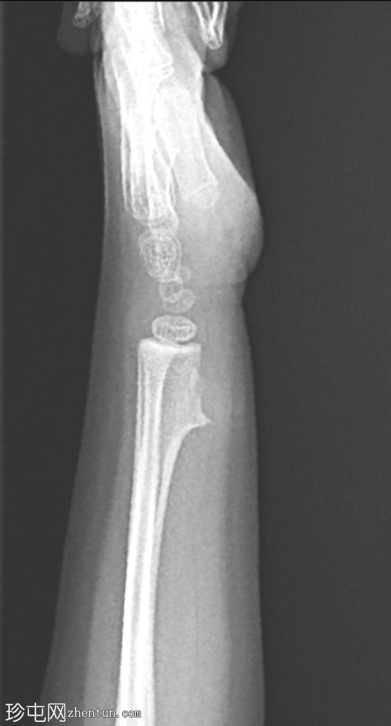
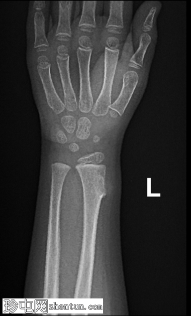
正位片
侧位片
可见桡骨远端干骺端前外侧有一骨性增生。病变与母骨皮质和髓质相连。边界清晰。无皮质破损、骨膜反应及相关软组织肿块。邻近尺骨外观正常。无骨折或脱位。
病例讨论
教学要点
骨软骨瘤表现为良性骨性增生,与母骨皮质和髓质相连。
正位片和侧位片足以进行初步诊断。边界清晰提示良
性病
变
无骨膜反应、皮质骨破坏或软组织肿块有助于鉴别恶性病变
临床相关性分析,必要时可进行横断面
影像
学检查(MRI/CT),以评估软骨帽厚度及并发症
回复
举报
返回列表
发表新帖
高级模式
B
Color
Image
Link
Quote
Code
Smilies
您需要登录后才可以回帖
登录
|
注册
大江
关注Ta
主题 17556
帖子 16642
积分 42140
此人很懒,什么也没留下。
•
轻松订阅最新动态(简易法)
•
珍屯网“股份”积分策略
•
会员注册规则说明——试行
•
您看好“外资独资办医”吗?欢迎大家投票和讨论
•
为各位医友推荐些好书!可代购
•
无排卵
•
《简明体格检查图解》┊陈清兰,郑智远编著.PDF
•
全国实践技能考试准考证打印一览表
阅读作者更多精彩帖子
热门问答
更多>
0
新月形骨折伴骨盆LC II损伤
62人围观, 发布于2026-01-29
0
三角骨骨折
58人围观, 发布于2026-01-30
0
腰骶移行椎(Castellvi 2b 型)
64人围观, 发布于2026-01-31
0
Hill-Sachs 缺陷伴 Bankart 病变
56人围观, 发布于2026-02-01