首页
Portal
订阅
产品资料
医疗器械
外科训练
医学论坛
BBS
关于我们
联系我们
登录
立即登录
立即注册
其他登录
QQ
微信
搜索
搜索
本版
文章
帖子
用户
本版
文章
帖子
用户
首页
Portal
订阅
产品资料
医疗器械
外科训练
医学论坛
BBS
关于我们
联系我们
账号
自动登录
找回密码
密码
登录
注册
外科
内科
第三
第四
中医
辅助
执业
教育
专区
好友
帖子
收藏
淘帖
分享
记录
留言板
门户
导读
排行榜
设置
我的收藏
退出
珍屯医学
»
医学论坛
›
外科
›
骨科四肢脊柱手外
›
尾骨痛
返回列表
尾骨痛
[复制链接]
作者:
大江
|
时间:
2026-1-10 17:02:28
|
阅读:51
|
显示全部楼层
临床表现
尾骨区域
疼痛
。
患者资料
年龄:20岁
性别:女
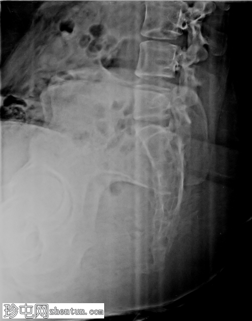
X线片
侧位片
侧位片
远端尾骨节段相对于正常排列呈前倾角增大。未见急性骨折线或脱位。未见局灶性溶骨性或硬化
性病
变,提示无
肿瘤
。
病例讨论
教学要点
尾骨痛通常表现为尾骨疼痛,坐起或起身时加剧。
侧位尾骨X线片是评估排列情况并排除骨折/脱位的首选
影像
学检查方法。
前倾角增大但无骨折支持机械性尾骨痛的诊断。
始终注意危险信号(发热、体重减轻、夜间剧烈疼痛),这些可能需要进行更高级的影像学检查。
回复
举报
返回列表
发表新帖
高级模式
B
Color
Image
Link
Quote
Code
Smilies
您需要登录后才可以回帖
登录
|
注册
大江
关注Ta
主题 17556
帖子 16642
积分 42140
此人很懒,什么也没留下。
•
轻松订阅最新动态(简易法)
•
珍屯网“股份”积分策略
•
会员注册规则说明——试行
•
您看好“外资独资办医”吗?欢迎大家投票和讨论
•
为各位医友推荐些好书!可代购
•
无排卵
•
《简明体格检查图解》┊陈清兰,郑智远编著.PDF
•
全国实践技能考试准考证打印一览表
阅读作者更多精彩帖子
热门问答
更多>
0
新月形骨折伴骨盆LC II损伤
62人围观, 发布于2026-01-29
0
三角骨骨折
58人围观, 发布于2026-01-30
0
腰骶移行椎(Castellvi 2b 型)
64人围观, 发布于2026-01-31
0
Hill-Sachs 缺陷伴 Bankart 病变
56人围观, 发布于2026-02-01