找回密码
 注册

肾包虫囊肿和肝包虫囊肿

作者:大江 | 时间:2026-1-12 21:00:00 | 阅读:63| 显示全部楼层
影像表现

未提供。

患者资料

年龄:30岁

性别:男

CT
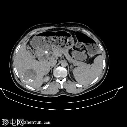
轴位
平扫
1.png
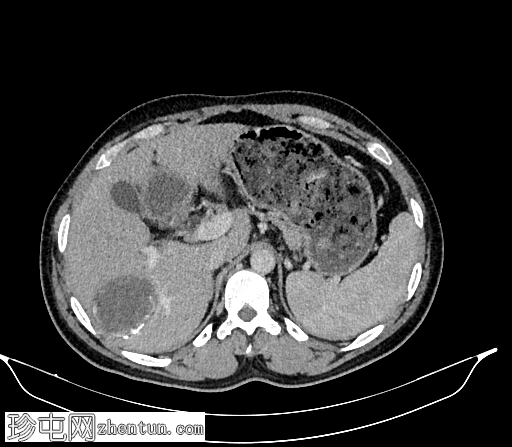
轴位增强扫描(门静脉期)
2.png
轴位增强扫描(延迟期)
3.jpg
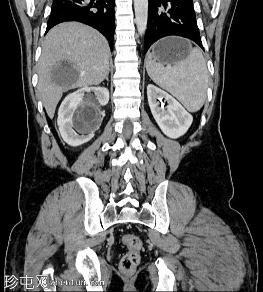
冠状位增强扫描(门静脉期)
4.jpg
肝脏VII段可见一边界清晰的囊性病变,内部有分隔,囊壁可见钙化。

右肾中央部分(肾门)可见一囊性病变,中心可见基质,周围可见子囊。该病变与肾盂肾盏无交通。病变周围可见两处高密度影,位于上、中肾盏,无法区分是结石还是病变壁钙化。另可见上极肾盏中度扩张。

病例讨论

影像学特征提示肝脏和右肾包虫囊肿。

肾包虫感染是包虫病的一种非常罕见的表现形式;然而,肝脏是最常受累的器官(占病例的76%)。

该患者无随访或组织病理学报告。
您需要登录后才可以回帖 登录 | 注册
Copyright © 2011-2026 东莞市珍屯医疗科技有限公司Powered by zhentun.com
返回顶部