找回密码
 注册

腹壁子宫内膜异位症

作者:大江 | 时间:2026-1-8 17:00:02 | 阅读:63| 显示全部楼层
临床表现

剖宫产瘢痕处出现疼痛性皮下结节,月经期间结节增大并伴有压痛。

患者资料

年龄:35岁

性别:女

MRI
冠状位
T2加权像
1.jpg
矢状位
T2加权像
2.jpg
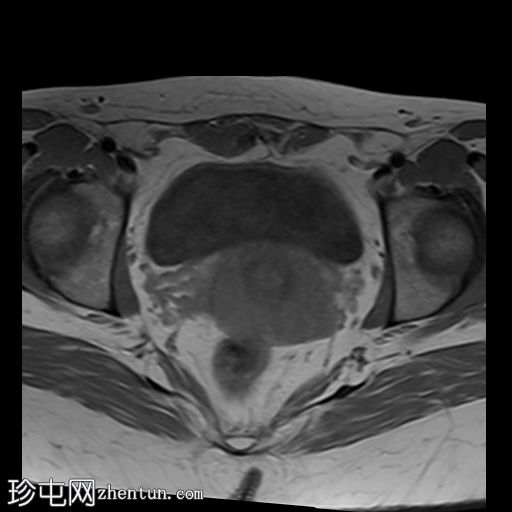
轴位
T2加权像
3.jpg
轴位
T2血流加权像
4.jpg
T2脂肪抑制像

冠状位
5.jpg
T2快速加权像

轴位
6.jpg
T1加权像

轴位
7.jpg
T1加权像

轴位
8.jpg
T1加权像
9.jpg
轴位
T1脂肪抑制像

DWI
10.jpg
轴位
ADC
11.jpg
冠状位T1加权像

C+脂肪抑制像
12.jpg
矢状位T1加权像

C+脂肪抑制像
13.jpg
轴位T1加权像
14.jpg
MRI特征符合剖宫产术后瘢痕子宫内膜异位症,表现为特征性T1高信号伴T1FS持续存在,T2低信号伴内部高信号灶,病灶边缘浸润于腹前壁肌肉内,以及对比增强。

该病灶累及腹白线并浸润腹直肌,主要位于中线左侧,耻骨联合及结节处腹直肌起点上方。

影像学表现符合病灶内出血成分,提示既往剖宫产瘢痕处存在异位子宫内膜组织。

子宫可见剖宫产瘢痕灶。

未见明确的腹膜内或皮下软组织侵犯。

双侧卵巢增大,内含多个小卵泡(每侧卵巢10-12个或更多)。

病例讨论

瘢痕子宫内膜异位症是一种罕见但重要的诊断,在常规横断面影像检查中常被漏诊。

剖宫产瘢痕是继卵巢和子宫之后,子宫内膜异位症最常见的盆腔外发生部位之一。

这种疾病的主要机制被认为是子宫切开或缝合过程中子宫内膜干细胞直接植入手术部位。

在磁共振成像(MRI)上,瘢痕子宫内膜异位囊肿通常表现出与盆腔子宫内膜异位病灶相似的影像学特征。值得注意的是,它们在脂肪抑制T1加权像上表现为高信号强度区域,对应于异位子宫内膜腺体和出血。
您需要登录后才可以回帖 登录 | 注册
Copyright © 2011-2026 东莞市珍屯医疗科技有限公司Powered by zhentun.com
返回顶部