找回密码
 注册

桡骨颈骨折

作者:大江 | 时间:2025-10-30 12:00:00 | 阅读:86| 显示全部楼层
就诊
跌倒后肘部疼痛肿胀。

患者资料
年龄:4岁
性别:男
X光片
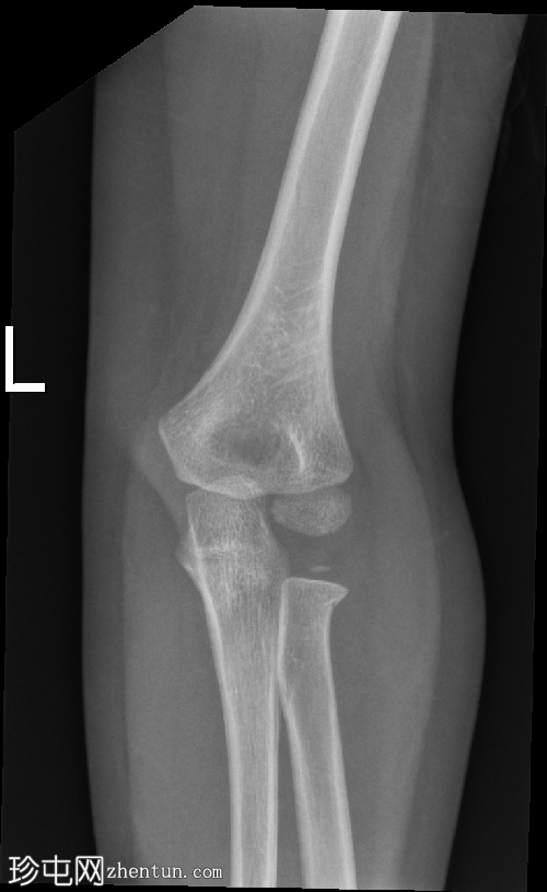
1.png
正面

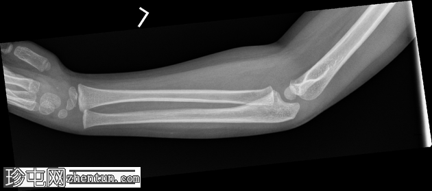
2.png
侧面

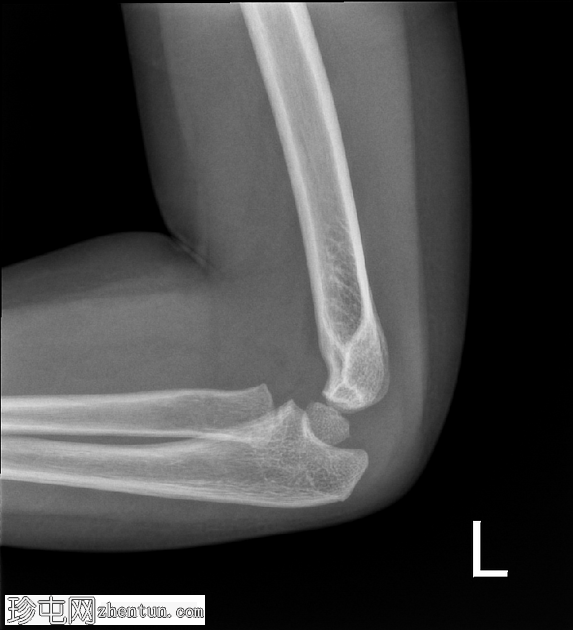
3.png
正面

4.png
斜位
在正位片和侧位片上,桡骨近端干骺端可见轻微的皮质断裂和不规则,骨折线似乎向骺端延伸。

相关的脂肪垫征(可见前脂肪垫和帆状征,后脂肪垫阳性)进一步支持骨折后关节内积液的存在。

总体而言,骨性对线保持良好,无脱位迹象。

骨化中心与年龄相符。

病例讨论
桡骨近端骨折常伴有关节积液,本例中帆状征(前脂肪垫隆起)和后脂肪垫征均证实了这一点。

儿童桡骨近端骨折累及骨骺(生长板)具有重要的临床意义,因为其可能影响骨骼生长和远期关节功能。在创伤且X线片正常的情况下,如果出现“船帆征”和后脂肪垫,应怀疑隐匿性关节内骨折。

桡骨近端骨折会影响前臂旋转(旋前和旋后),因此早期发现和妥善处理对于预防功能障碍至关重要。需要骨科转诊进行固定和随访,如果移位严重,则考虑手术干预。
您需要登录后才可以回帖 登录 | 注册
Copyright © 2011-2026 东莞市珍屯医疗科技有限公司Powered by zhentun.com
返回顶部