找回密码
 注册

胰腺癌支架置入术后ERCP术后胰腺炎

作者:大江 | 时间:昨天 16:23 | 阅读:2| 显示全部楼层
病例介绍

患者因胰头癌行内镜逆行胰胆管造影术(ERCP)三天后出现腹痛。

患者资料

年龄:70岁

性别:男

CT
轴位增强扫描(门静脉期)
1.jpg
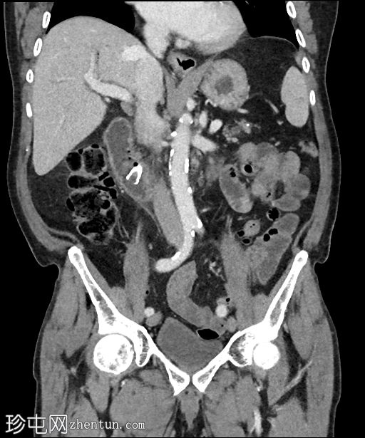
冠状位增强扫描(门静脉期)
2.jpg
矢状位增强扫描(门静脉期)
3.jpg
可见胆道支架位置良好,管腔内可见分层气液平面。支架远端位于充满液体的D2段内。支架内未见明显放射性结石。

肝内胆管未扩张,但可见胆道积气。

胰头水肿,伴胰周脂肪浸润。未见明显积液。

胰头局灶性结节(代表已知的肿瘤),伴有上游主胰管扩张,位于萎缩的胰颈、胰体和胰尾内。背景可见胰腺实质内钙化。

病例讨论

ERCP 的已知并发症之一是急性胰腺炎,该患者因胰腺癌梗阻而接受了胆道支架置入术,术后即发生急性胰腺炎。
您需要登录后才可以回帖 登录 | 注册
Copyright © 2011-2026 东莞市珍屯医疗科技有限公司Powered by zhentun.com
返回顶部