找回密码
 注册

Krukenberg瘤单侧卵巢扭转

作者:大江 | 时间:昨天 17:02 | 阅读:8| 显示全部楼层
病例介绍

患者既往有胃癌卵巢转移(克鲁肯伯格综合征)和腹膜癌病史,此次就诊主诉为突发剧烈上盆腔疼痛

患者资料

年龄:30岁

性别:女

MRI

矢状位

T2加权像
1.jpg
轴位

T2加权像
2.jpg
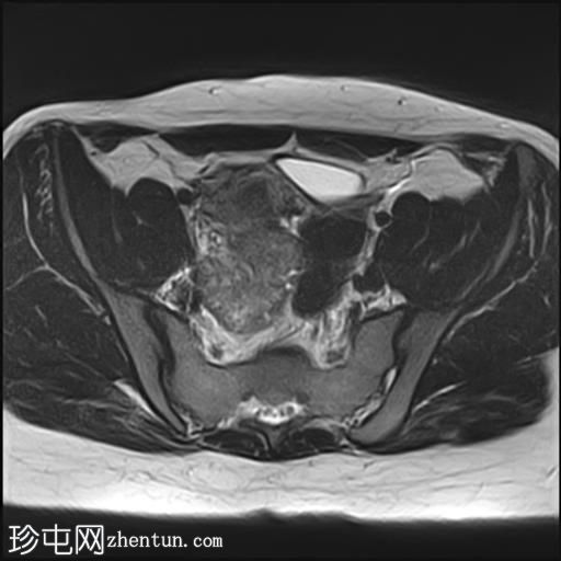
轴位T1加权像

增强脂肪抑制像
3.jpg
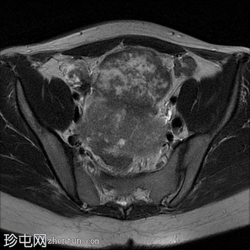
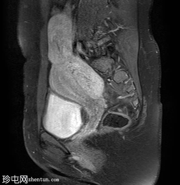
盆腔内可见多个边界清晰的肿块:

其中一个位于子宫上方,T2加权像呈中等信号,中心区域呈高信号,增强T1脂肪抑制像未见强化。右侧卵巢增大,增厚的血管蒂扭曲,未见强化,轴位和矢状位T2加权像均显示清晰。

另一个位于子宫后窝,T2加权像呈中等信号,增强扫描显示明显强化。

轻度腹腔积液

MRI
矢状位
T2加权像
4.jpg
冠状位
T2加权像
5.jpg
轴位
T2加权像
6.jpg
轴位
T1加权像
7.jpg
轴位
DWI
8.jpg
轴位
ADC
9.jpg
轴位T1加权像
增强脂肪抑制像
10.jpg
矢状位T1加权像
11.jpg
增强脂肪抑制像
12.jpg
轴位T1加权像
增强脂肪抑制动态像

2个月前进行的MRI检查显示双侧卵巢肿块均有强化,右侧卵巢肿块未见扭转。

病例讨论

Krukenberg瘤患者单侧卵巢扭转的MRI特征。

胃和结肠是导致卵巢转移的最常见的原发肿瘤,其次是乳腺癌、癌和对侧卵巢原发肿瘤。

Krukenberg瘤引起的卵巢扭转在文献中鲜有报道。
您需要登录后才可以回帖 登录 | 注册
Copyright © 2011-2026 东莞市珍屯医疗科技有限公司Powered by zhentun.com
返回顶部