找回密码
 注册

卵巢残余综合征

作者:大江 | 时间:昨天 16:54 | 阅读:8| 显示全部楼层
病例介绍

患者既往有子宫切除术和双侧卵巢切除术史,此次行盆腔MRI检查,旨在评估既往影像学检查发现的囊性病变。

患者资料

年龄:35岁

性别:女

MRI
冠状位
T2加权像
1.png
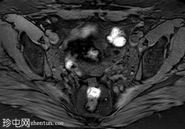
轴位T2加权像

脂肪抑制像
2.png
轴位T1加权像

脂肪抑制像
3.png
轴位T1加权像

增强脂肪抑制像
4.png
盆腔MRI显示左侧骶前区有两个小囊性病变,位于左侧附件的预期解剖位置。

病变在T2加权像上呈高信号,边界清晰,囊壁轻度增厚,光滑。在T1加权脂肪抑制像上,一个病变内部呈高信号,另一个病变呈低信号。静脉注射对比剂后,可见轻度周边囊壁强化,未见强化的实性成分。

未见扩散受限。病灶与邻近盆腔血管关系密切,无周围炎症改变、盆腔淋巴结肿大或游离液体的证据。

病例讨论

卵巢残留综合征是指卵巢切除术后功能性卵巢组织的持续存在,最常见的原因是切除不彻底、粘连或手术时盆腔解剖结构改变。残留的卵巢组织随后可能发生囊性改变或出血,并可能出现症状或在影像学检查中偶然发现。

在术后盆腔中,MRI 对于病灶的定性尤为有用。典型的影像学特征包括位于预期卵巢解剖位置的囊性或混合性囊实性病变,通常与盆腔血管紧密相邻。常见的表现为 T2 高信号、T1 信号强度因出血或蛋白含量而异、轻度周边强化以及无扩散受限。

本例中,患者既往有双侧卵巢切除史,左侧附件预期位置出现小囊性病变,其中一个病变内含血性物质,且有轻度周边强化,支持卵巢残留组织的诊断。由于无扩散受限或侵袭性影像学特征,因此恶性肿瘤等其他诊断的可能性较小。

主要鉴别诊断包括子宫内膜异位症残留囊肿,后者可能表现出类似的出血特征。然而,根据解剖位置、与邻近血管的关系以及术后影像学表现,卵巢残留综合征的诊断更为突出。由于通常不进行再次手术,组织学检查往往难以获得,因此诊断通常基于影像学表现结合临床病史。
您需要登录后才可以回帖 登录 | 注册
Copyright © 2011-2026 东莞市珍屯医疗科技有限公司Powered by zhentun.com
返回顶部