找回密码
 注册

卵巢残余综合征伴输卵管残端积水

作者:大江 | 时间:昨天 16:51 | 阅读:9| 显示全部楼层
病例介绍

患者约20年前曾行双侧输卵管卵巢切除术,此次因盆腔超声检查发现附件异常而转诊进行进一步评估。影像检查时患者未报告急性盆腔症状。为进一步明确超声检查结果及其与患者手术史的关系,建议行盆腔MRI检查。

患者资料

年龄:45岁

性别:女

MRI
1.png
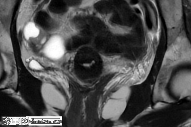
冠状位
T2加权像
2.png
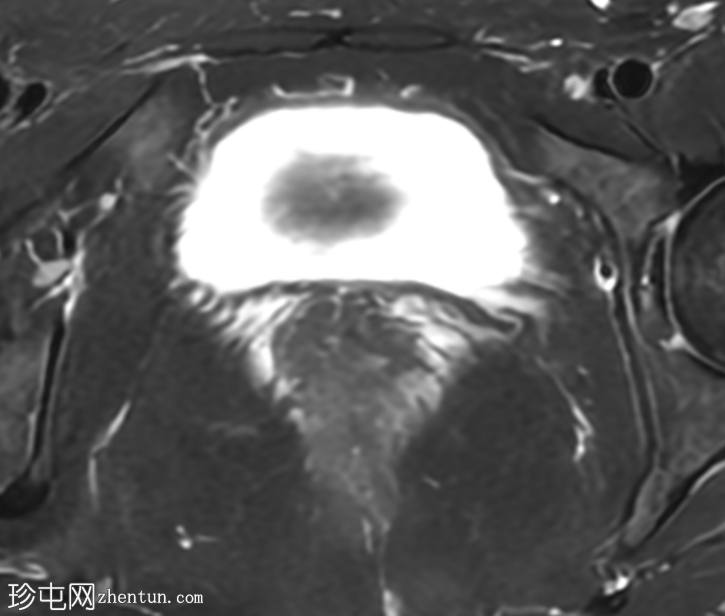
轴位T2加权像
脂肪抑制像
3.png
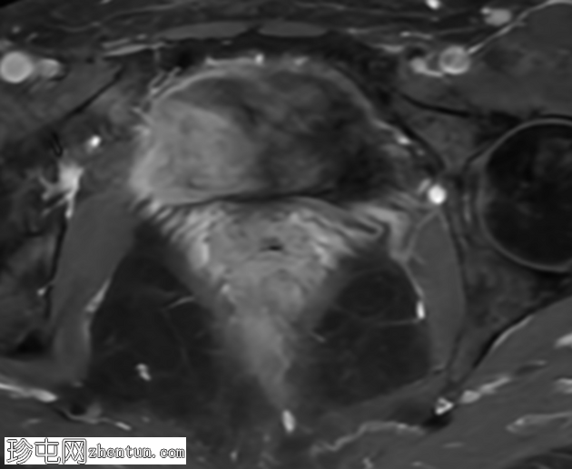
轴位T1加权像
脂肪抑制像
4.png
轴位T1加权像
增强脂肪抑制像

盆腔MRI显示右侧卵巢解剖位置可见一边界清晰的卵圆形肿块。该病灶由囊性和实性成分组成。囊性部分壁薄,在T2加权像上呈均匀高信号,在T1加权脂肪抑制序列上呈低信号,无对比剂增强。该实性成分的信号特征与正常卵巢组织相似,DWI成像未见扩散受限,静脉注射造影剂后未见异常强化。

此外,在子宫左侧壁可见一管状薄壁囊性结构,延伸至同侧髂外血管,末端呈盲端。该结构在T2加权像上呈均匀高信号,在T1加权脂肪抑制序列上呈低信号,且无造影剂强化。

双侧附件区未见病理性扩散受限。子宫大小及信号强度正常,子宫内膜增厚正常。膀胱未见异常。未见盆腔淋巴结肿大或游离液体。

病例讨论

卵巢残留综合征是指单侧或双侧卵巢切除术后残留功能性卵巢组织。卵巢残留综合征最常见的原因是手术切除不彻底,尤其是在术后粘连严重、盆腔解剖结构扭曲或手术难度较高的情况下,并且可能与子宫内膜异位症病史有关。残留的卵巢组织可能仍具有激素活性,并可能随后增大或发生囊性改变,导致在初次手术数年后出现附件肿块。

本例中,盆腔MRI显示,患者右侧卵巢解剖位置存在一个边界清晰的附件肿块,该患者有20年前行双侧输卵管卵巢切除术的病史。该病灶包含囊性和实性成分,其中实性部分表现出与正常卵巢组织相似的信号特征。无扩散受限和无可疑的增强扫描强化提示排除恶性病变。这些影像学特征结合相关的手术史进行解读,符合残留卵巢组织的特征,支持卵巢残留综合征的诊断。此外,还发现对侧子宫左侧延伸出一个管状薄壁囊性结构,末端呈盲端。其形态、信号特征和无强化表现符合输卵管残端或输卵管残端积水,这是输卵管切除术后常见的术后表现。附件残余的存在进一步支持术后病因,而非原发性妇科肿瘤

主要鉴别诊断包括腹膜包涵囊肿、子宫内膜异位症相关囊肿和附件肿瘤。腹膜包涵囊肿通常位于腹膜腔内,不含类似卵巢组织的实性成分。子宫内膜异位囊肿通常在T1加权像上表现为高信号,T2加权像上出现阴影,并具有其他特征性MRI表现,而本例4中均未见这些表现。鉴于无扩散受限、无可疑强化以及实性成分的良性影像学表现,肿瘤性病变的可能性较小。

总而言之,本病例强调了在评估附件肿块时,将影像学结果与详细的手术史相结合的重要性。了解卵巢残余综合征对于避免误诊为原发性附件肿瘤以及指导恰当的临床治疗至关重要。
您需要登录后才可以回帖 登录 | 注册
Copyright © 2011-2026 东莞市珍屯医疗科技有限公司Powered by zhentun.com
返回顶部